• Tel: 858.663.9055
  • SeparatorEmail: info@nsjbio.com
  • Tel: 858.663.9055
  • Email: info@nsjbio.com
Home >> Antibodies >> Phospho-Histone H3 (pSer28) Antibody / HIST1H3A Chromosome Condensation Marker Antibody

Phospho-Histone H3 (pSer28) Antibody / HIST1H3A Chromosome Condensation Marker Antibody [clone 32H09] (FY12176)

  Catalog No Formulation Size Price (USD)  
Image FY12176 Rabbit IgG in phosphate buffered saline, pH 7.4, 150mM NaCl, 0.02% sodium azide and 50% glycerol, 0.4-0.5mg/ml BSA 100 ul 449
Microvalidated Recrabbitmono
Bulk quote request
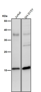
Phospho-Histone H3 (pSer28) Antibody / HIST1H3A Chromosome Condensation Marker Antibody for WB. Western blot analysis of HIST1H3A / Histone H3 Ser28 phosphorylation in human Jurkat and SH-SY5Y cell lysates using Phospho-Histone H3 (pSer28) Antibody / HIST1H3A Chromosome Condensation Marker Antibody. A band is detected at the predicted molecular weight of approximately 15 kDa corresponding to Histone H3, with signal reflecting Ser28 phosphorylation associated with Aurora B-driven chromosome condensation in mitotic cells. All lanes were incubated with the antibody at 1:2000 dilution for 1 hour at room temperature.
Availability 2-3 weeks
Species Reactivity Human, Mouse, Rat
Format Liquid
Host Rabbit
Clonality Recombinant Rabbit Monoclonal
Isotype Rabbit IgG
Clone Name 32H09
Purity Affinity-chromatography
Buffer Rabbit IgG in phosphate buffered saline, pH 7.4, 150mM NaCl, 0.02% sodium azide and 50% glycerol, 0.4-0.5mg/ml BSA.
UniProt P68431
Applications Western Blot : 1:500-1:2000
Immunohistochemistry : 1:50-1:200
Immunocytochemistry/Immunofluorescence : 1:50-1:200
Limitations This Phospho-Histone H3 (pSer28) antibody is available for research use only.
Review this product on BioCompare and get a $20 Amazon gift card

Related Products

Description

Histone H3 (HIST1H3A) is a core nucleosomal protein that undergoes tightly regulated phosphorylation events during mitosis, with serine 28 phosphorylation representing a distinct chromatin modification associated with chromosome condensation and mitotic progression. Phospho-Histone H3 (pSer28) Antibody / HIST1H3A Chromosome Condensation Marker Antibody is specifically designed to detect this site-specific modification and distinguish it from other histone H3 phosphorylation events. This antibody is part of a broader collection of Histone H3 antibodies used to study chromatin structure, histone modifications, and epigenetic regulation.

HIST1H3A antibody, also referred to as Histone H3 antibody and H3S28ph antibody in the literature, recognizes a phosphorylation site that is strongly dependent on Aurora B kinase activity and is closely linked to structural reorganization of chromatin during mitosis. Compared to Ser10 phosphorylation, which is widely used as a general mitotic marker, Ser28 phosphorylation is more tightly associated with chromosome condensation and chromatin compaction, providing a more mechanistically focused readout of mitotic chromatin remodeling.

This Phospho-Histone H3 (pSer28) Antibody is uniquely positioned for studies of chromosome architecture and mitotic chromatin dynamics rather than simple proliferation assessment. Ser28 phosphorylation occurs during mitotic entry and is enriched on condensed chromosomes, where it contributes to large-scale chromatin reorganization required for accurate chromosome segregation.

At the functional level, Ser28 phosphorylation has been linked to displacement of chromatin-associated proteins and transcriptional regulators, supporting global transcriptional repression during mitosis. This distinguishes it from broader proliferation markers and highlights its role in regulating chromatin accessibility and gene expression during cell division.

In western blot applications, the antibody detects Histone H3 at the expected molecular weight of approximately 15 kDa, corresponding to the phosphorylated form of the protein. Signal intensity reflects the proportion of mitotically active cells within the sample and provides a biochemical readout of chromatin modification status.

At the cellular level, Ser28 phosphorylation localizes to the nucleus and is concentrated within condensed chromatin, producing strong signal in mitotic cells while remaining low or absent in interphase populations. This pattern supports its use in distinguishing chromatin condensation states and monitoring mitotic progression.

At the molecular level, Ser28 phosphorylation functions within a coordinated network of histone modifications that regulate chromosome structure and mitotic progression. Its strong association with Aurora kinase activity and chromatin condensation makes it a valuable marker for studying mitotic chromatin remodeling pathways and epigenetic regulation during cell division.

This antibody enables specific detection of Ser28-phosphorylated Histone H3, supporting detailed analysis of chromosome condensation, chromatin architecture, and mitotic signaling mechanisms.

Application Notes

Optimal dilution of the Phospho-Histone H3 (pSer28) Antibody / HIST1H3A Chromosome Condensation Marker Antibody should be determined by the researcher.

Immunogen

A synthesized peptide derived from human Phospho-Histone H3 (S28) was used as the immunogen for the Phospho-Histone H3 (pSer28) Antibody / HIST1H3A Chromosome Condensation Marker Antibody.

Storage

Store the Phospho-Histone H3 (pSer28) antibody at -20oC.

Alternate Names

Histone H3 Ser28 phosphorylation antibody, H3S28ph mitotic chromatin antibody, phospho-H3 Ser28 chromosome marker antibody, Aurora B Ser28 substrate antibody

Cross
Bulk Quote Request Form
Name*:
Organization*:
Email*:
Phone Number*:
Catalog No.*:
Comments and Specifics(amount, formulation, etc.)*:
Validation code: Captchapackage Image


Can't read the image? click here to refresh.
    *required field

Your bulk quote request has been submitted successfully!

Please contact us if you have any questions.