• Tel: 858.663.9055
  • SeparatorEmail: info@nsjbio.com
  • Tel: 858.663.9055
  • Email: info@nsjbio.com
Home >> Antibodies >> Phospho-AMPA Receptor 1 (pSer831) Antibody

Phospho-AMPA Receptor 1 (pSer831) Antibody [clone 32G40] (FY12183)

  Catalog No Formulation Size Price (USD)  
Image FY12183 Rabbit IgG in phosphate buffered saline, pH 7.4, 150mM NaCl, 0.02% sodium azide and 50% glycerol, 0.4-0.5mg/ml BSA 100 ul 449
Microvalidated Recrabbitmono
Bulk quote request
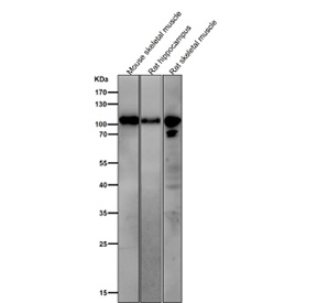
All lanes use the Phospho-AMPA Receptor 1 (pSer831) antibody at 1:1000 dilution for 1 hour at room temperature.
All lanes use the Phospho-AMPA Receptor 1 (pSer831) antibody at 1:1000 dilution for 1 hour at room temperature.
Availability 2-3 weeks
Species Reactivity Human, Mouse, Rat
Format Liquid
Host Rabbit
Clonality Recombinant Rabbit Monoclonal
Isotype Rabbit IgG
Clone Name 32G40
Purity Affinity-chromatography
Buffer Rabbit IgG in phosphate buffered saline, pH 7.4, 150mM NaCl, 0.02% sodium azide and 50% glycerol, 0.4-0.5mg/ml BSA.
UniProt P42261
Applications Western Blot : 1:500-1:2000
Limitations This Phospho-AMPA Receptor 1 (pSer831) antibody is available for research use only.
Review this product on BioCompare and get a $20 Amazon gift card

Description

Phospho-AMPA Receptor 1 (pSer831) antibody detects AMPA receptor subunit GluA1 when phosphorylated at serine 831, a modification critical for synaptic plasticity. AMPA receptors are glutamate-gated ion channels that mediate fast excitatory neurotransmission in the central nervous system. Phosphorylation of GluA1 at Ser831 by CaMKII or PKC increases channel conductance, strengthening synaptic transmission during processes such as long-term potentiation (LTP).

Research using Phospho-AMPA Receptor 1 (pSer831) antibody has shown that this modification plays a key role in learning and memory. Ser831 phosphorylation enhances calcium permeability and receptor function, promoting LTP in hippocampal neurons. Disruption of this phosphorylation event impairs memory consolidation and cognitive performance in animal models. It is therefore a crucial target for studies of synaptic plasticity and higher-order brain function.

Dysregulation of Ser831 phosphorylation has been implicated in neurodegenerative diseases, psychiatric disorders, and addiction. In Alzheimer's disease models, impaired AMPA receptor phosphorylation contributes to synaptic dysfunction and memory loss. Abnormal regulation of GluA1 phosphorylation has also been observed in schizophrenia and depression, linking it to disrupted glutamatergic signaling. In addiction research, Ser831 phosphorylation is modulated by repeated drug exposure, altering synaptic plasticity and reward circuitry.

Antibodies against phospho-AMPA receptor 1 (Ser831) are validated for immunohistochemistry, immunofluorescence, and western blot. These reagents allow selective detection of the phosphorylated receptor, supporting studies of neuronal signaling, synaptic strength, and disease-related changes. Clone-based antibodies ensure specificity to the Ser831 site, avoiding cross-reactivity with unmodified AMPA receptors.

NSJ Bioreagents offers this Phospho-AMPA Receptor 1 (pSer831) antibody for neuroscience research focused on learning, memory, and synaptic disorders.

Application Notes

Optimal dilution of the Phospho-AMPA Receptor 1 (pSer831) antibody should be determined by the researcher.

Immunogen

A synthesized peptide derived from human Phospho-AMPA Receptor 1 (S831) was used as the immunogen for the Phospho-AMPA Receptor 1 (pSer831) antibody.

Storage

Store the Phospho-AMPA Receptor 1 (pSer831) antibody at -20oC.

Cross
Bulk Quote Request Form
Name*:
Organization*:
Email*:
Phone Number*:
Catalog No.*:
Comments and Specifics(amount, formulation, etc.)*:
Validation code: Captchapackage Image


Can't read the image? click here to refresh.
    *required field

Your bulk quote request has been submitted successfully!

Please contact us if you have any questions.