• Tel: 858.663.9055
  • SeparatorEmail: info@nsjbio.com
  • Tel: 858.663.9055
  • Email: info@nsjbio.com
Home >> Antibodies >> PGP9.5 Antibody Clone 31A3 / UCHL1 Antibody

PGP9.5 Antibody Clone 31A3 / UCHL1 Antibody [clone 31A3] (V2293)

  Catalog No Formulation Size Price (USD)  
Image V2293-100UG 0.2 mg/ml in 1X PBS with 0.1 mg/ml BSA (US sourced) and 0.05% sodium azide 100 ug 559
Image
V2293-20UG 0.2 mg/ml in 1X PBS with 0.1 mg/ml BSA (US sourced) and 0.05% sodium azide 20 ug 259
Image
V2293SAF-100UG 1 mg/ml in 1X PBS; BSA free, sodium azide free 100 ug 559
Image
V2293IHC-7ML Prediluted in 1X PBS with 0.1 mg/ml BSA (US sourced) and 0.05% sodium azide; *For IHC use only* 7 ml 559
Bulk quote request
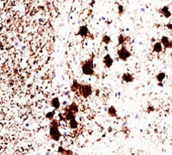
PGP9.5 Antibody Clone 31A3 for IHC. Immunohistochemistry analysis of PGP9.5 / UCHL1 in human brain tissue. Formalin-fixed, paraffin-embedded human brain tissue stained with PGP9.5 Antibody for IHC, also known as UCHL1 antibody or Ubiquitin C-terminal hydrolase L1 antibody, demonstrates strong cytoplasmic and neuritic HRP-DAB brown staining in neuronal cells, with clear labeling of neuronal cell bodies and processes while surrounding non-neuronal cells show minimal signal. Clone 31A3 antibody shows a well-defined neuronal staining pattern consistent with published observations, supporting its use as a widely cited and trusted reagent for detecting UCHL1 expression in neural tissue. Antigen retrieval was performed by heating sections in pH 9 Tris-EDTA buffer at 95oC for 45 minutes followed by cooling at room temperature for 20 minutes.
PGP9.5 Antibody Clone 31A3 for WB. Western blot analysis of PGP9.5 / UCHL1 in brain lysates. Lane 1: human brain lysate, Lane 2: mouse brain lysate, Lane 3: rat brain lysate. Samples stained with PGP9.5 Antibody for WB, also known as UCHL1 antibody or Ubiquitin C-terminal hydrolase L1 antibody, show a consistent band at approximately 25 kDa across all species, matching the predicted molecular weight of PGP9.5 / UCHL1. Clone 31A3 antibody demonstrates reproducible detection across human, mouse, and rat samples, supporting its use as a widely cited and reliable reference clone for comparative western blot analysis.
Western blot testing of human brain lysate with PGP9.5 antibody (clone 31A3). Predicted molecular weight ~25 kDa.
PGP9.5 Antibody Clone 31A3 for IF. Immunofluorescence analysis of PGP9.5 / UCHL1 in human T98G cells. Permeabilized human T98G cells stained with PGP9.5 Antibody for IF, also known as UCHL1 antibody or Ubiquitin C-terminal hydrolase L1 antibody, show strong cytoplasmic green fluorescence consistent with UCHL1 localization, while nuclei are counterstained with Nucspot (red). Clone 31A3 antibody produces a clear intracellular staining pattern with minimal background, supporting its use as a widely cited and reliable reagent for detecting UCHL1 in cell-based fluorescence imaging workflows.
PGP9.5 Antibody Clone 31A3 for FACS. Flow cytometry analysis of PGP9.5 / UCHL1 in human T98G cells. Permeabilized human T98G cells stained with PGP9.5 Antibody for FACS, also known as UCHL1 antibody or Ubiquitin C-terminal hydrolase L1 antibody, show a clear rightward shift in fluorescence intensity (blue) compared to isotype control (red), indicating specific intracellular detection of UCHL1. Clone 31A3 antibody demonstrates strong signal separation with minimal background, supporting its use as a widely cited and reliable reagent for quantitative flow cytometry analysis of PGP9.5 expression.
Western blot testing of human brain lysate with PGP9.5 antibody (clone 31A3). Predicted molecular weight ~25 kDa.
Species Reactivity Human, Mouse, Rat
Format Purified
Host Mouse
Clonality Monoclonal (mouse origin)
Isotype Mouse IgG1, kappa
Clone Name 31A3
Purity Protein G affinity chromatography
UniProt P09936
Gene ID 7345
Localization Cytoplasmic
Applications Flow Cytometry : 1-2ug/10^6 cells
Immunofluorescence : 1-2ug/ml
Western Blot : 1-2ug/ml
Immunohistochemistry (FFPE) : 1-2ug/ml for 30 min at RT
Limitations This PGP9.5 antibody is available for research use only.
Review this product on BioCompare and get a $20 Amazon gift card

Related Products

Description

Protein gene product 9.5 (PGP9.5), also known as Ubiquitin C-terminal hydrolase L1 (UCHL1), is a cytoplasmic protein commonly used as a neuronal and tumor-associated marker. The PGP9.5 Antibody Clone 31A3 is a widely cited monoclonal antibody that has been used in numerous peer-reviewed studies, making it a recognized reference clone for detecting UCHL1 across diverse research applications.

PGP9.5 Antibody Clone 31A3, also referred to as UCHL1 antibody or ubiquitin C-terminal hydrolase L1 antibody, is frequently selected based on literature precedence and established clone performance. Clone 31A3 antibody is consistently reported in published research, supporting its role as a trusted and reproducible reagent. Its repeated use across independent studies allows researchers to align new findings with previously published data, which is particularly important for comparative and longitudinal analysis.

This mouse monoclonal PGP9.5 Antibody Clone 31A3 provides reliable detection of UCHL1 in research applications where clone consistency and literature continuity are key considerations. The use of a well-cited antibody clone reduces variability between studies and supports reproducibility across laboratories. PGP9.5 Antibody Clone 31A3 is therefore especially valuable for researchers seeking a standardized tool that aligns with established experimental results.

UCHL1 is involved in ubiquitin-mediated protein regulation and is expressed in neuronal tissues as well as various cancers. Its expression patterns are frequently analyzed in studies of differentiation, disease progression, and cellular signaling. Detection of UCHL1 using a reference clone such as PGP9.5 Antibody Clone 31A3 enables more direct comparison of expression data across studies and experimental systems.

A PGP9.5 Antibody Clone 31A3 is ideally suited for research applications where a publication-supported, widely used antibody clone is preferred. Its strong presence in the scientific literature distinguishes it from less established reagents and positions it as a dependable choice for reproducible detection of UCHL1.

Application Notes

The concentration stated for each application is a general starting point. Variations in protocols, secondaries and substrates may require the PGP9.5 antibody to be titered up or down for optimal performance.

1. Staining of formalin-fixed tissues requires boiling tissue sections in pH 9 10mM Tris with 1mM EDTA for 10-20 min followed by cooling at RT for 20 minutes.
2. The prediluted format is supplied in a dropper bottle and is optimized for use in IHC. After epitope retrieval step (if required), drip mAb solution onto the tissue section and incubate at RT for 30 min.

Immunogen

Native protein from brain was used as the immunogen for this PGP9.5 antibody.

Storage

Store the PGP9.5 antibody at 2-8oC (with azide) or aliquot and store at -20oC or colder (without azide).

Alternate Names

UCHL1 antibody, PGP9.5 protein antibody, Ubiquitin C-terminal hydrolase L1 antibody, Clone 31A3 antibody

Cross
Bulk Quote Request Form
Name*:
Organization*:
Email*:
Phone Number*:
Catalog No.*:
Comments and Specifics(amount, formulation, etc.)*:
Validation code: Captchapackage Image


Can't read the image? click here to refresh.
    *required field

Your bulk quote request has been submitted successfully!

Please contact us if you have any questions.