• Tel: 858.663.9055
  • separatorEmail: info@nsjbio.com
  • Tel: 858.663.9055
  • Email: info@nsjbio.com
banner

CD10 Antibody / Neprilysin Antibody

Home >> Antibodies >> CD10 Antibody / Neprilysin Antibody

CD10 Antibody / Neprilysin Antibody

CD10 Antibody Overview

CD10 Antibody reagents target CD10, also known as neprilysin, neutral endopeptidase (NEP), or membrane metallo-endopeptidase (MME). CD10 is a zinc-dependent metalloprotease that degrades a wide range of bioactive peptides, including enkephalins, substance P, atrial natriuretic peptide, and bradykinin. Its enzymatic activity regulates neuropeptide signaling, blood pressure, inflammation, and cellular communication.

CD10 expression is observed in various tissues, including kidney proximal tubules, lymphoid progenitor cells, and certain epithelial and stromal cell types. Importantly, CD10 is widely used in diagnostic pathology as a cell surface marker to identify specific leukemias, lymphomas, and carcinomas. Because of its functional versatility, the CD10 Antibody is indispensable in immunology, oncology, cardiovascular biology, and neuroscience. The Neprilysin Antibody supports complementary use in diagnostics and translational medicine.


Why Choose CD10 Antibodies from NSJ Bioreagents?

NSJ Bioreagents provides CD10 Antibodies validated for immunohistochemistry, western blotting, immunofluorescence, flow cytometry, and ELISA. Each CD10 Antibody is tested for specificity, reproducibility, and consistent performance across research applications.

By choosing CD10 Antibodies from NSJ Bioreagents, researchers gain reagents optimized for accuracy and clarity. Our antibodies provide strong staining in tissues and cell lines, reproducible protein detection in lysates, and robust performance across multiple platforms. Detailed datasheets, suggested positive controls, and validated protocols ensure reproducibility in both laboratory and diagnostic workflows.


Applications of CD10 Antibodies

The CD10 Antibody supports a wide range of applications in biomedical research and diagnostics.

1) Oncology and Diagnostic Pathology

  • CD10 Antibodies identify expression in acute lymphoblastic leukemia (ALL) and certain non-Hodgkin lymphomas.

  • The CD10 Antibody supports classification of renal cell carcinomas and endometrial stromal sarcomas.

  • Neprilysin Antibody reagents provide diagnostic clarity in tumor immunohistochemistry.

2) Neuroscience and Neuropeptide Biology

  • CD10 Antibodies detect neprilysin activity in degrading amyloid-β peptides.

  • The CD10 Antibody supports studies of Alzheimer’s disease and neurodegeneration.

  • Neprilysin Antibody reagents provide tools for neurotransmission and synaptic biology.

3) Cardiovascular and Renal Biology

  • CD10 Antibodies highlight neprilysin expression in kidney proximal tubules.

  • The CD10 Antibody supports studies of natriuretic peptide metabolism and hypertension.

  • Neprilysin Antibody reagents contribute to cardiovascular biomarker research.

4) Immunology and Inflammation

  • CD10 Antibodies detect expression on lymphoid progenitors and activated immune cells.

  • The CD10 Antibody supports immune profiling in hematology research.

  • Neprilysin Antibody reagents clarify peptide-mediated immune regulation.

5) Drug Discovery and Therapeutics

  • CD10 Antibodies support pharmacology studies of neprilysin inhibitors such as sacubitril.

  • The CD10 Antibody validates drug targets in cardiovascular and neurodegenerative disorders.

  • Neprilysin Antibody reagents contribute to translational research in precision medicine.

6) Translational and Clinical Research

  • CD10 Antibodies are integrated into biomarker-driven clinical trials.

  • The CD10 Antibody supports diagnostic and prognostic workflows.

  • Neprilysin Antibody reagents ensure reproducibility in translational pipelines.


Why Are CD10 Antibodies Important?

CD10/neprilysin plays diverse roles in peptide regulation, immune profiling, and tumor diagnostics. The CD10 Antibody provides researchers with validated tools for detecting and studying this multifunctional enzyme, while the Neprilysin Antibody supports complementary applications in oncology, cardiovascular research, and neuroscience.

In oncology, CD10 Antibodies provide diagnostic markers for leukemias, lymphomas, and renal carcinomas. In neuroscience, the CD10 Antibody highlights amyloid-β degradation and neuroprotective pathways. In cardiovascular biology, Neprilysin Antibody reagents support biomarker validation in heart failure and hypertension.

Clinically, CD10 remains both a diagnostic biomarker and a therapeutic target. Antibodies against CD10 ensure reproducibility, reliability, and translational impact across biomedical research and diagnostics.


Conclusion

CD10 (neprilysin) is a multifunctional metalloprotease with important roles in oncology, immunology, neuroscience, and cardiovascular biology. The CD10 Antibody provides scientists and clinicians with validated reagents for research and diagnostics, while the Neprilysin Antibody supports complementary applications in translational medicine. By ensuring specificity and reproducibility, these antibodies remain indispensable for advancing biomedical discovery and improving clinical outcomes.

 
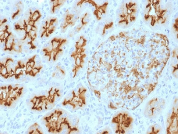
<p>IHC staining of FFPE human kidney with CD10 antibody (<a href="../tds/cd10-antibody-neprilysin-mme1893-v3885" target="_blank" rel="noopener">clone MME/1893, cat # V3885</a>). Required HEIR: boil tissue sections in 10mM Tris with 1mM EDTA, pH 9, for 10-20 min and allow to cool before testing.</p>

IHC staining of FFPE human kidney with CD10 antibody (clone MME/1893, cat # V3885). Required HEIR: boil tissue sections in 10mM Tris with 1mM EDTA, pH 9, for 10-20 min and allow to cool before testing.

Found all antibodies, displaying 1 to 10
CD10 Antibody / Neprilysin
Catalog No : R31488
Applications : WB, IHC-P, FACS
Reactivity : Human, Rat
Format : Antigen affinity purified
CD10 Antibody / Neprilysin (clone 307CT12.12.5)
Catalog No : F40299
Applications : WB, ELISA
Reactivity : Human
Format : Purified
CD10 Antibody / Neprilysin (clone 307CT12.12.5)
Catalog No : F53573
Applications : WB, ELISA
Reactivity : Human
Format : Ascites
CD10 Antibody / Neprilysin (clone FR4D11)
Catalog No : V2716
Applications : FACS, IF
Reactivity : Human
Format : Purified
CD10 Antibody / Neprilysin (clone CB-CALLA)
Catalog No : V2717
Applications : FACS, IF
Reactivity : Human
Format : Purified
CD10 Antibody / Neprilysin
Catalog No : F50314
Applications : WB, IHC, FACS, ELISA
Reactivity : Human
Pred. Reactivity:Mouse, Rabbit, Rat
Format : Antigen affinity purified
CD10 Antibody / Neprilysin (clone MME/1870)
Catalog No : V3879
Applications : WB, IHC-P
Reactivity : Human
Format : Purified
Microvalidated
CD10 Antibody / Neprilysin (clone MME/1892)
Catalog No : V3878
Applications : ELISA, WB, IHC-P
Reactivity : Human
Format : Purified
Microvalidated
CD10 Antibody / Neprilysin (clone MME/1893)
Catalog No : V3885
Applications : IHC-P
Reactivity : Human
Format : Purified
Microvalidated
CD10 Antibody / Neprilysin (clone CDLA10-1)
Catalog No : V3870
Applications : WB, IHC-P
Reactivity : Human
Format : Purified