- Tel: 858.663.9055
- 
									 Email: info@nsjbio.com Email: info@nsjbio.com
- Tel: 858.663.9055
- Email: info@nsjbio.com
 Email: info@nsjbio.com
Email: info@nsjbio.com
								Related Products
| 
 | 
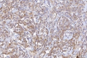
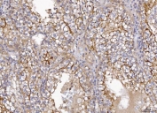
CD10, also known as membrane metallo-endopeptidase, neutral endopeptidase (NEP), Neprilysin, or common acute lymphoblastic leukemia antigen (CALLA), is a zinc-dependent metalloprotease enzyme that degrades a number of small secreted peptides, most notably theamyloid beta peptide whose abnormal misfolding and aggregation in neural tissue has been implicated as a cause of Alzheimers disease. This gene is localized to human chromosome 3 by study of somatic cell hybrids and regionalized the location to 3q21-q27 by in situ hybridization. By cDNA transfection analysis, CD10 is confirmed as a functional neutral endopeptidase of the type that has previously been called enkephalinase. CD10 has also been called atriopeptidase. Atriopeptidase specifically degrades atrial natriuretic factor. A specific enzyme inhibitor was developed and reported that it had effects similar to those of low-dose ANF infusion. These effects include diuresis, natriuresis, vasodilatation, and suppression of the renin-angiotensin-aldosterone system.
The stated application concentrations are suggested starting amounts. Titration of the CD10 antibody may be required due to differences in protocols and secondary/substrate sensitivity.
Human partial recombinant protein (AA 52-750) was used as the immunogen for this CD10 antibody.
After reconstitution, the CD10 antibody can be stored for up to one month at 4oC. For long-term, aliquot and store at -20oC. Avoid repeated freezing and thawing.
 
Your bulk quote request has been submitted successfully!
Please contact us if you have any questions.