• Tel: 858.663.9055
  • SeparatorEmail: info@nsjbio.com
  • Tel: 858.663.9055
  • Email: info@nsjbio.com
Home >> Antibodies >> BrdU Antibody

BrdU Antibody [clone BRD.3] (V3110)

  Catalog No Formulation Size Price (USD)  
Image V3110-100UG 0.2 mg/ml in 1X PBS with 0.1 mg/ml BSA (US sourced) and 0.05% sodium azide 100 ug 559
Image
V3110-20UG 0.2 mg/ml in 1X PBS with 0.1 mg/ml BSA (US sourced) and 0.05% sodium azide 20 ug 259
Image
V3110SAF-100UG 1 mg/ml in 1X PBS; BSA free, sodium azide free 100 ug 559
Image
V3110IHC-7ML Prediluted in 1X PBS, 0.1 mg/ml BSA (US sourced), 0.05% sodium azide 7 ml 559
Bulk quote request
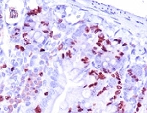
IHC analysis of formalin-fixed, paraffin-embedded mouse small intestine stained with BrdU antibody (clone BRD.3).
Availability 1-3 business days
Species Reactivity All species
Format Purified
Host Mouse
Clonality Monoclonal (mouse origin)
Isotype Mouse IgG1, kappa
Clone Name BRD.3
Purity Protein G affinity chromatography
Localization Nuclear
Applications Flow Cytometry : 0.5-1ug/10^6 cells
Immunofluorescence : 0.5-1ug/ml
Immunohistochemistry (FFPE) : 0.5-1ug/ml for 30 min at RT
Limitations This BrdU antibody is available for research use only.
Review this product on BioCompare and get a $20 Amazon gift card

Related Products

Description

It reacts with Bromodeoxyuridine (BrdU) in single stranded DNA (produced by partial denaturation of double stranded DNA), BrdU coupled to a protein carrier, as well as free BrdU. BrdU is a thymidine analog, incorporated into cell nuclei during DNA synthesis prior to mitosis. Antibody to BrdU is helpful in detecting S-phase cells, providing useful information on the aggressiveness of tumors.

Application Notes

Optimal dilution of the BrdU antibody should be determined by the researcher.

1. For staining of formalin-fixed tissues, incubate sections in 4N HCl for 30 min at RT followed by digestion with Trypsin at 1mg/ml PBS, 10 min at 37oC.
2. The prediluted format is supplied in a dropper bottle and is optimized for use in IHC. After epitope retrieval step (if required), drip mAb solution onto the tissue section and incubate at RT for 30 min.

Immunogen

Bromodeoxyuridine conjugated to BSA was used as the immunogen for the BrdU antibody.

Storage

Store the BrdU antibody at 2-8oC (with azide) or aliquot and store at -20oC or colder (without azide).

Cross
Bulk Quote Request Form
Name*:
Organization*:
Email*:
Phone Number*:
Catalog No.*:
Comments and Specifics(amount, formulation, etc.)*:
Validation code: Captchapackage Image


Can't read the image? click here to refresh.
    *required field

Your bulk quote request has been submitted successfully!

Please contact us if you have any questions.