• Tel: 858.663.9055
  • SeparatorEmail: info@nsjbio.com
  • Tel: 858.663.9055
  • Email: info@nsjbio.com
Home >> Antibodies >> NLRP3 Antibody / NALP3

NLRP3 Antibody / NALP3 (R30750)

  Catalog No Formulation Size Price (USD)  
Image R30750 0.5mg/ml if reconstituted with 0.2ml sterile DI water 100 ug 449
Bulk quote request
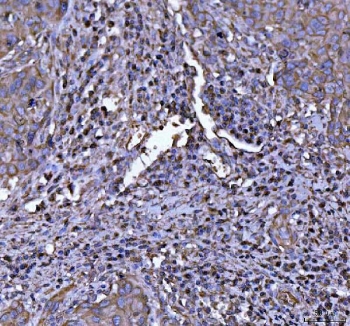
IHC staining of FFPE human squamous cell cervical carcinoma tissue with NLRP3 antibody. HIER: boil tissue sections in pH8 EDTA for 20 min and allow to cool before testing.
IHC staining of FFPE human tonsil tissue with NLRP3 antibody. HIER: boil tissue sections in pH8 EDTA for 20 min and allow to cool before testing.
Western blot testing of 1) human ThP-1, 2) rat PC-12, 3) mouse spleen and 4) mouse RAW264.7 cell lysate with NLRP3 antibody. Predicted molecular weight ~118 kDa.
Flow cytometry testing of fixed and permeabilized human ThP-1 cells with NLRP3 antibody at 1ug/million cells (blocked with goat sera); Red=cells alone, Green=isotype control, Blue= NLRP3 antibody.
Availability 1-3 business days
Species Reactivity Human, Mouse, Rat
Format Antigen affinity purified
Host Rabbit
Clonality Polyclonal (rabbit origin)
Isotype Rabbit Ig
Purity Antigen affinity
Buffer Lyophilized from 1X PBS with 2% Trehalose
UniProt Q96P20
Localization Nuclear, cytoplasmic, secreted
Applications Western Blot : 0.5-1ug/ml
Immunohistochemistry (FFPE) : 2-5ug/ml
Flow Cytometry : 1-3ug/10^6 cells
Limitations This NLRP3 antibody is available for research use only.
Review this product on BioCompare and get a $20 Amazon gift card

Related Products

  • Applications : WB
    Reactivity : Human
  • Applications : WB, IHC, ELISA
    Reactivity : Human
  • Applications : IHC, ELISA (peptide)
    Reactivity : Human
    Pred. Reactivity : Cow, Dog, Mouse, Pig, Rat
  • Applications : ELISA (peptide), FACS
    Reactivity : Human
    Pred. Reactivity : Cow, Rat
  • Applications : WB, FACS, Direct ELISA
    Reactivity : Human, Mouse, Rat

Description

NOD-like receptor family pyrin domain containing 3, also known as CIAS1, CRYOPYRIN, NALP3 or PYPAF1, is a protein that in humans is encoded by the NLRP3 gene. The gene encodes a pyrin-like protein expressed predominantly in peripheral blood leukocytes. NLRP3 interacts with apoptosis-associated speck-like protein containing a CARD(ASC). The encoded protein may play a role in the regulation of inflammation and apoptosis. Mutation of the proteins nucleotide-binding domain reduced ATP binding, Caspase-1 activation, IL-1b production, cell death, macromolecular complex formation, self-association, and association with ASC. Consistent with an essential role for NLRP3 inflammasomes in antifungal immunity, Gross et al.showed that deficient mice are hypersusceptible to C. albicans infection. Activation of the NLRP3 inflammasome in response to virus or to RNA was dependent upon lysosomal maturation and reactive oxygen species production in human cells. The NLRP3 inflammasome senses obesity-associated danger signals and contributes to obesity-induced inflammation and insulin resistance.

Application Notes

The stated application concentrations are suggested starting points. Titration of the NLRP3 antibody may be required due to differences in protocols and secondary/substrate sensitivity.

Immunogen

An amino acid sequence from the N-terminus of human NLRP3 (RYLEDLEDVDLKKFKMHLED) was used as the immunogen for this NLRP3 antibody.

Storage

After reconstitution, the NLRP3 antibody can be stored for up to one month at 4oC. For long-term, aliquot and store at -20oC. Avoid repeated freezing and thawing.

Cross
Bulk Quote Request Form
Name*:
Organization*:
Email*:
Phone Number*:
Catalog No.*:
Comments and Specifics(amount, formulation, etc.)*:
Validation code: Captchapackage Image


Can't read the image? click here to refresh.
    *required field

Your bulk quote request has been submitted successfully!

Please contact us if you have any questions.