• Tel: 858.663.9055
  • SeparatorEmail: info@nsjbio.com
  • Tel: 858.663.9055
  • Email: info@nsjbio.com
Home >> Antibodies >> NLRP3 Antibody

NLRP3 Antibody (R33546)

  Catalog No Formulation Size Price (USD)  
Image R33546-100UG 0.5 mg/ml in 1X TBS, pH7.3, with 0.5% BSA (US sourced) and 0.02% sodium azide 100 ug 475
Bulk quote request
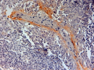
NLRP3 Antibody Tonsil Tissue Immunohistochemistry. IHC testing of FFPE human tonsil with NLRP3 antibody at 2ug/ml. HIER: steamed with pH6 citrate buffer, HRP-staining.
Availability 1-3 business days
Species Reactivity Human
Predicted Reactivity Mouse, Rat, Dog, Pig, Cow
Format Antigen affinity purified
Host Goat
Clonality Polyclonal (goat origin)
Isotype Goat Ig
Purity Antigen affinity
Gene ID 114548
Applications Immunohistochemistry (FFPE) : 2-4ug/ml
ELISA (peptide) LOD : 1:64000
Limitations This NLRP3 antibody is available for research use only.
Review this product on BioCompare and get a $20 Amazon gift card

Related Products

  • Applications : WB, IHC-P, FACS
    Reactivity : Human, Mouse, Rat
    Citation  Citations(1)
  • Applications : WB
    Reactivity : Human
  • Applications : WB, IHC, ELISA
    Reactivity : Human
  • Applications : ELISA (peptide), FACS
    Reactivity : Human
    Pred. Reactivity : Rat, Cow
  • Applications : WB, FACS, Direct ELISA
    Reactivity : Human, Mouse, Rat

Description

Additional name(s) for this target protein: NACHT LRR and PYD containing protein 3; NALP3; CIAS1

Explore our NLRP3 Antibody / Inflammasome Marker page for additional validation data and research applications involving innate immune signaling, inflammasome activation, cytokine maturation, and pyroptosis-associated cellular pathways.

Application Notes

Optimal dilution of the NLRP3 antibody should be determined by the researcher.

Immunogen

Amino acids DLYEKAKRDEPK were used as the immunogen for this NLRP3 antibody.

Storage

Aliquot and store the NLRP3 antibody at -20oC.

Cross
Bulk Quote Request Form
Name*:
Organization*:
Email*:
Phone Number*:
Catalog No.*:
Comments and Specifics(amount, formulation, etc.)*:
Validation code: Captchapackage Image


Can't read the image? click here to refresh.
    *required field

Your bulk quote request has been submitted successfully!

Please contact us if you have any questions.