• Tel: 858.663.9055
  • SeparatorEmail: info@nsjbio.com
  • Tel: 858.663.9055
  • Email: info@nsjbio.com
Home >> Antibodies >> ZAP70 Antibody / Lymphocyte Development Signaling Antibody

ZAP70 Antibody / Lymphocyte Development Signaling Antibody [clone ZAP70/2046] (V3945)

  Catalog No Formulation Size Price (USD)  
Image V3945-100UG 0.2 mg/ml in 1X PBS with 0.1 mg/ml BSA (US sourced) and 0.05% sodium azide 100 ug 559
Image
V3945-20UG 0.2 mg/ml in 1X PBS with 0.1 mg/ml BSA (US sourced) and 0.05% sodium azide 20 ug 259
Image
V3945SAF-100UG 1 mg/ml in 1X PBS; BSA free, sodium azide free 100 ug 559
Microvalidated
Bulk quote request
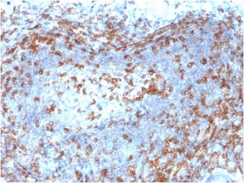
ZAP70 Antibody / Lymphocyte Development Signaling Antibody. Immunohistochemistry analysis of formalin-fixed, paraffin-embedded human lymph node tissue using ZAP70 Antibody / Lymphocyte Development Signaling Antibody (clone ZAP70/2046). Antigen retrieval was performed by boiling sections in pH 9 Tris-EDTA buffer for 10-20 minutes followed by cooling at room temperature. Cytoplasmic HRP-DAB brown staining is observed in lymphoid cell populations within cortical and paracortical regions, consistent with Zeta-chain-associated protein kinase 70 (ZAP70) expression in developing and mature lymphocytes. The staining pattern highlights organized lymphoid compartments and supports the role of ZAP70 in signaling pathways that regulate lymphocyte maturation, selection, and immune system development within lymphoid tissue architecture.
ZAP70 Antibody / Lymphocyte Development Signaling Antibody. Protein microarray specificity analysis using a HuProt(TM) array containing more than 19,000 full-length human proteins with ZAP70 Antibody / Lymphocyte Development Signaling Antibody (clone ZAP70/2046). Zeta-chain-associated protein kinase 70 (ZAP70) is identified as the top-ranked target with a high Z-score and strong S-score separation from non-specific proteins, demonstrating highly specific binding of the antibody. The Z-score reflects signal intensity relative to the array mean, while the S-score indicates target specificity relative to other proteins. These results support the selectivity of clone ZAP70/2046 for ZAP70, consistent with its use in studies of lymphocyte development signaling where precise detection of signaling proteins is critical.
SDS-PAGE analysis of purified, BSA-free ZAP70 antibody (clone ZAP70/2046) as confirmation of integrity and purity.
Availability 1-3 business days
Species Reactivity Human
Format Purified
Host Mouse
Clonality Monoclonal (mouse origin)
Isotype Mouse IgG2a, kappa
Clone Name ZAP70/2046
Purity Protein G affinity chromatography
UniProt P43403
Localization Cytoplasmic, cell surface
Applications ELISA : 2-4ug/ml (order BSA/azide-free format)
Immunohistochemistry (FFPE) : 1-2ug/ml for 30 min at RT
Limitations This ZAP70 antibody is available for research use only.
Review this product on BioCompare and get a $20 Amazon gift card

Related Products

Description

Zeta-chain-associated protein kinase 70 (ZAP70) is a cytoplasmic tyrosine kinase that plays a critical role in lymphocyte development, particularly during T-cell maturation in the thymus. ZAP70 Antibody is uniquely positioned for studying lymphocyte development signaling, where it contributes to signaling pathways that regulate thymocyte selection, differentiation, and survival. ZAP70 antibody, also referred to as Zeta-chain-associated protein kinase 70 antibody or ZAP-70 antibody, is widely used to investigate developmental signaling processes in the immune system.

During thymic development, T-cell precursors undergo a series of selection steps that determine their ability to recognize antigens while avoiding self-reactivity. ZAP70-mediated signaling is essential for both positive and negative selection, processes that ensure only appropriately responsive thymocytes survive and mature. These signaling events are tightly regulated and depend on the strength and duration of signals transmitted through the T-cell receptor.

This ZAP70 Antibody is uniquely positioned for studying developmental signaling pathways, with emphasis on thymocyte maturation and selection rather than activation of mature immune cells or cytotoxic function. Its use supports investigation of how signaling thresholds influence cell fate decisions and how disruptions in these processes affect immune system development. This differentiator clearly separates it from pages focused on mature immune cell signaling or effector responses.

ZAP70 expression during development is dynamically regulated, reflecting its role in controlling progression through developmental checkpoints. Its activity influences lineage commitment, survival, and differentiation of developing lymphocytes, making it a key regulator of immune system formation.

In experimental systems, thymocyte populations can be analyzed to study developmental signaling processes, with ZAP70 serving as a critical marker of signaling competence. Detection of ZAP70 allows researchers to examine how signaling pathways guide immune cell differentiation and how developmental programs are executed at the molecular level.

Overall, ZAP70 Antibody provides a specialized tool for investigating lymphocyte development signaling, enabling detailed study of thymocyte selection, immune cell differentiation, and the molecular processes that shape the immune repertoire and establish functional immunity.

Application Notes

Optimal dilution of the ZAP70 Antibody / Lymphocyte Development Signaling Antibody should be determined by the researcher.

Immunogen

A portion of amino acids 247-382 from the human protein was used as the immunogen for the ZAP70 Antibody / Lymphocyte Development Signaling Antibody.

Storage

Store the ZAP70 antibody at 2-8oC (with azide) or aliquot and store at -20oC or colder (without azide).

Alternate Names

ZAP70 antibody, Zeta-chain-associated protein kinase 70 antibody, ZAP70 lymphocyte development antibody, ZAP70 thymocyte signaling antibody, ZAP70 immune development antibody

Cross
Bulk Quote Request Form
Name*:
Organization*:
Email*:
Phone Number*:
Catalog No.*:
Comments and Specifics(amount, formulation, etc.)*:
Validation code: Captchapackage Image


Can't read the image? click here to refresh.
    *required field

Your bulk quote request has been submitted successfully!

Please contact us if you have any questions.