• Tel: 858.663.9055
  • SeparatorEmail: info@nsjbio.com
  • Tel: 858.663.9055
  • Email: info@nsjbio.com
Home >> Antibodies >> YTHDC1 Antibody

YTHDC1 Antibody (RQ6218)

  Catalog No Formulation Size Price (USD)  
Image RQ6218 0.5mg/ml if reconstituted with 0.2ml sterile DI water 100 ug 449
Bulk quote request
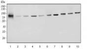
Western blot testing of human 1) placenta, 2) U937, 3) K562, 4) HepG2, 5) HeLa, 6) Jurkat, 7) rat testis, 8) rat C6, 9) mouse testis and 10) mouse RAW264.7 lysate with YTHDC1 antibody. Predicted molecular weight ~85 kDa.
Availability 1-3 business days
Species Reactivity Human, Mouse, Rat
Format Antigen affinity purified
Host Rabbit
Clonality Polyclonal (rabbit origin)
Isotype Rabbit IgG
Purity Affinity purified
Buffer Lyophilized from 1X PBS with 2% Trehalose and 0.0125% sodium azide
UniProt Q96MU7
Applications Western Blot : 1-2ug/ml
Direct ELISA : 0.1-0.5ug/ml
Limitations This YTHDC1 antibody is available for research use only.
Review this product on BioCompare and get a $20 Amazon gift card

Description

YTH domain-containing protein 1 is a protein that in humans is encoded by the YTHDC1 gene. YTHDC1 is a nuclear protein involved in splice site selection that localises to YT bodies; dynamic subnuclear compartments, which first appear at the beginning of S-phase in the cell cycle and disperse during mitosis.

Application Notes

Optimal dilution of the YTHDC1 antibody should be determined by the researcher.

Immunogen

A human recombinant partial protein (amino acids S326-K651) was used as the immunogen for the YTHDC1 antibody.

Storage

After reconstitution, the YTHDC1 antibody can be stored for up to one month at 4oC. For long-term, aliquot and store at -20oC. Avoid repeated freezing and thawing.

Cross
Bulk Quote Request Form
Name*:
Organization*:
Email*:
Phone Number*:
Catalog No.*:
Comments and Specifics(amount, formulation, etc.)*:
Validation code: Captchapackage Image


Can't read the image? click here to refresh.
    *required field

Your bulk quote request has been submitted successfully!

Please contact us if you have any questions.