• Tel: 858.663.9055
  • SeparatorEmail: info@nsjbio.com
  • Tel: 858.663.9055
  • Email: info@nsjbio.com
Home >> Antibodies >> Yes Antibody

Yes Antibody (R31908)

  Catalog No Formulation Size Price (USD)  
Image R31908 0.5mg/ml if reconstituted with 0.2ml sterile DI water 100 ug 449
Bulk quote request
Western blot testing of 1) SGC, 2) A549 and 3) HepG2 cell lysate with Yes antibody. Expected/observed molecular weight ~61 kDa.
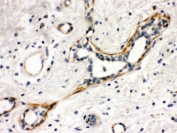
IHC testing of FFPE human breast cancer tissue with Yes antibody. HIER: Boil the paraffin sections in pH 6, 10mM citrate buffer for 20 minutes and allow to cool prior to staining.
Availability 1-3 business days
Species Reactivity Human
Format Antigen affinity purified
Host Rabbit
Clonality Polyclonal (rabbit origin)
Isotype Rabbit IgG
Purity Antigen affinity
Buffer Lyophilized from 1X PBS with 2.5% BSA and 0.025% sodium azide
UniProt P07947
Applications Western Blot : 0.1-0.5ug/ml
IHC (FFPE) : 0.5-1ug/ml
Limitations This Yes antibody is available for research use only.
Review this product on BioCompare and get a $20 Amazon gift card

Related Products

Description

Proto-oncogene tyrosine-protein kinase Yes is an enzyme that in humans is encoded by the YES1 gene. This gene is the cellular homolog of the Yamaguchi sarcoma virus oncogene. The encoded protein has tyrosine kinase activity and belongs to the src family of proteins. This gene lies in close proximity to thymidylate synthase gene on chromosome 18, and a corresponding pseudogene has been found on chromosome 22. YES1 has been shown to interact with Janus kinase 2, CTNND1, RPL10 and Occludin.

Application Notes

Optimal dilution of the Yes antibody should be determined by the researcher.

Immunogen

Amino acids KENKSPAIKYRPENTPEPVSTSVSHYGAE of human Yes1 were used as the immunogen for the Yes antibody.

Storage

After reconstitution, the Yes antibody can be stored for up to one month at 4oC. For long-term, aliquot and store at -20oC. Avoid repeated freezing and thawing.

Cross
Bulk Quote Request Form
Name*:
Organization*:
Email*:
Phone Number*:
Catalog No.*:
Comments and Specifics(amount, formulation, etc.)*:
Validation code: Captchapackage Image


Can't read the image? click here to refresh.
    *required field

Your bulk quote request has been submitted successfully!

Please contact us if you have any questions.