• Tel: 858.663.9055
  • SeparatorEmail: info@nsjbio.com
  • Tel: 858.663.9055
  • Email: info@nsjbio.com
Home >> Antibodies >> XCT Antibody / SLC7A11

XCT Antibody / SLC7A11 (R34450)

  Catalog No Formulation Size Price (USD)  
Image R34450-100UG 0.5 mg/ml in 1X TBS, pH7.3, with 0.5% BSA (US sourced) and 0.02% sodium azide 100 ug 475
Bulk quote request
Western blot testing of human spleen lysate with xCT antibody at 0.02ug/ml. Predicted molecular weight ~55 kDa.
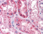
IHC testing of FFPE human kidney tissue with XCT antibody at 3.75ug/ml. HIER: steamed antigen retrieval with pH6 citrate buffer; AP-staining.
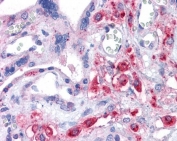
IHC testing of FFPE human placental tissue with XCT antibody at 3.75ug/ml. HIER: steamed antigen retrieval with pH6 citrate buffer; AP-staining.
Availability 1-3 business days
Species Reactivity Human, Rat
Predicted Reactivity Dog
Format Antigen affinity purified
Host Goat
Clonality Polyclonal (goat origin)
Isotype Goat Ig
Purity Antigen affinity
Gene ID 23657
Localization Cytoplasmic, membrane
Applications Western Blot : 0.02-0.06ug/ml
IHC (FFPE) : 3-6ug/ml
ELISA (peptide) LOD : 1:128000
Limitations This xCT antibody is available for research use only.
Review this product on BioCompare and get a $20 Amazon gift card

Related Products

Description

Additional name(s) for this target protein: Solute carrier family 7 (cationic amino acid transporter, y+ system) member 11; SLC7A11

Application Notes

Optimal dilution of the xCT antibody should be determined by the researcher.

Immunogen

Amino acids KGQTQNFKDAFSGRD were used as the immunogen for this xCT antibody.

Storage

Aliquot and store the xCT antibody at -20oC.

Cross
Bulk Quote Request Form
Name*:
Organization*:
Email*:
Phone Number*:
Catalog No.*:
Comments and Specifics(amount, formulation, etc.)*:
Validation code: Captchapackage Image


Can't read the image? click here to refresh.
    *required field

Your bulk quote request has been submitted successfully!

Please contact us if you have any questions.