• Tel: 858.663.9055
  • SeparatorEmail: info@nsjbio.com
  • Tel: 858.663.9055
  • Email: info@nsjbio.com
Home >> Antibodies >> WNT5B Antibody

WNT5B Antibody [clone 3D1-F4-E9] (F54040)

  Catalog No Formulation Size Price (USD)  
Image F54040-0.1ML In PBS with 50% glycerol and 0.03% ProClin 300 0.1 ml 439
Bulk quote request
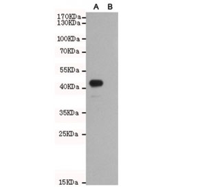
Western blot of Wnt5b A) transfected and (B) untransfected CHO-K1 cell lysate with WNT5B antibody at 1:1000. Predicted molecular weight ~40 kDa.
Availability 1-3 business days
Species Reactivity Human
Format Purified
Host Mouse
Clonality Monoclonal (mouse origin)
Isotype Mouse lgG2b
Clone Name 3D1-F4-E9
Purity Protein G affinity
UniProt Q9H1J7
Applications Western Blot : 1:1000
Limitations This WNT5B antibody is available for research use only.
Review this product on BioCompare and get a $20 Amazon gift card

Related Products

  • Applications : WB, IHC, FACS, ELISA
    Reactivity : Human, Mouse
    Pred. Reactivity : Rat, Rabbit, Xenopus
  • Applications : WB, FACS, Direct ELISA
    Reactivity : Human

Description

Ligand for members of the frizzled family of seven transmembrane receptors. Probable developmental protein. May be a signaling molecule which affects the development of discrete regions of tissues. Is likely to signal over only few cell diameters.

Application Notes

The stated application concentrations are suggested starting points. Titration of the WNT5B antibody may be required due to differences in protocols and secondary/substrate sensitivity.

Immunogen

A human recombinant partial protein was used as the immunogen for this WNT5B antibody.

Storage

Store the WNT5B antibody at -20oC.

Cross
Bulk Quote Request Form
Name*:
Organization*:
Email*:
Phone Number*:
Catalog No.*:
Comments and Specifics(amount, formulation, etc.)*:
Validation code: Captchapackage Image


Can't read the image? click here to refresh.
    *required field

Your bulk quote request has been submitted successfully!

Please contact us if you have any questions.