• Tel: 858.663.9055
  • SeparatorEmail: info@nsjbio.com
  • Tel: 858.663.9055
  • Email: info@nsjbio.com
Home >> Antibodies >> Wee1 Antibody

Wee1 Antibody (F51038)

  Catalog No Formulation Size Price (USD)  
Image F51038-0.4ML In 1X PBS, pH 7.4, with 0.09% sodium azide 0.4 ml 439
Image
F51038-0.08ML In 1X PBS, pH 7.4, with 0.09% sodium azide 0.08 ml 205
Bulk quote request
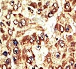
IHC analysis of FFPE human hepatocarcinoma tissue stained with the Wee1 antibody
Western blot analysis of Wee1 antibody and HL-60 cell lysate; Predicted molecular weight ~72 kDa.
Availability 1-3 business days
Species Reactivity Human
Predicted Reactivity Mouse, Rat
Format Purified
Host Rabbit
Clonality Polyclonal (rabbit origin)
Isotype Rabbit Ig
Purity Purified
UniProt P30291
Applications Western Blot : 1:1000
IHC (Paraffin) : 1:50-1:100
Limitations This Wee1 antibody is available for research use only.
Review this product on BioCompare and get a $20 Amazon gift card

Related Products

  • Applications : WB, ELISA
    Reactivity : Human, Mouse
    Pred. Reactivity : Rat
  • Applications : DB, IHC, ELISA
    Reactivity : Human
  • Applications : WB
    Reactivity : Human
  • Applications : WB, IF, FACS, IHC-P
    Reactivity : Human
  • Applications : WB, FACS, Direct ELISA
    Reactivity : Human, Mouse

Description

Wee1 is a nuclear protein, which is a tyrosine kinase belonging to the Ser/Thr family of protein kinases. This protein catalyzes the inhibitory tyrosine phosphorylation of CDC2/cyclin B kinase, and appears to coordinate the transition between DNA replication and mitosis by protecting the nucleus from cytoplasmically activated CDC2 kinase.

Application Notes

Titration of the Wee1 antibody may be required due to differences in protocols and secondary/substrate sensitivity.

Immunogen

A portion of amino acids 604-634 from the human protein was used as the immunogen for this Wee1 antibody.

Storage

Aliquot the Wee1 antibody and store frozen at -20oC or colder. Avoid repeated freeze-thaw cycles.

Cross
Bulk Quote Request Form
Name*:
Organization*:
Email*:
Phone Number*:
Catalog No.*:
Comments and Specifics(amount, formulation, etc.)*:
Validation code: Captchapackage Image


Can't read the image? click here to refresh.
    *required field

Your bulk quote request has been submitted successfully!

Please contact us if you have any questions.