• Tel: 858.663.9055
  • SeparatorEmail: info@nsjbio.com
  • Tel: 858.663.9055
  • Email: info@nsjbio.com
Home >> Antibodies >> WDFY3 Antibody

WDFY3 Antibody (R36003)

  Catalog No Formulation Size Price (USD)  
Image R36003-100UG 0.5 mg/ml in 1X TBS, pH7.3, with 0.5% BSA (US sourced) and 0.02% sodium azide 100 ug 475
Bulk quote request
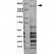
Western blot testing of mouse brain lysate with WDFY3 antibody at 5ug/ml. Predicted molecular weight ~395kDa.
Availability 1-3 business days
Species Reactivity Human, Mouse
Predicted Reactivity Cow, Rat
Format Antigen affinity purified
Host Goat
Clonality Polyclonal (goat origin)
Isotype Goat Ig
Purity Antigen affinity
Gene ID 23001
Applications Western Blot : 4-6ug/ml
ELISA (peptide) LOD : 1:128000
Limitations This WDFY3 antibody is available for research use only.
Review this product on BioCompare and get a $20 Amazon gift card

Description

Additional name(s) for this target protein: WD repeat and FYVE domain containing 3; ALFY; autophagy-linked FYVE

Application Notes

Optimal dilution of the WDFY3 antibody should be determined by the researcher.

Immunogen

Amino acids SPERSTRTQQKEFQT were used as the immunogen for this WDFY3 antibody.

Storage

Aliquot and store the WDFY3 antibody at -20oC.

Cross
Bulk Quote Request Form
Name*:
Organization*:
Email*:
Phone Number*:
Catalog No.*:
Comments and Specifics(amount, formulation, etc.)*:
Validation code: Captchapackage Image


Can't read the image? click here to refresh.
    *required field

Your bulk quote request has been submitted successfully!

Please contact us if you have any questions.