• Tel: 858.663.9055
  • SeparatorEmail: info@nsjbio.com
  • Tel: 858.663.9055
  • Email: info@nsjbio.com
Home >> Antibodies >> VPS29 Antibody

VPS29 Antibody (R33352)

  Catalog No Formulation Size Price (USD)  
Image R33352-100UG 0.5 mg/ml in 1X TBS, pH7.3, with 0.5% BSA (US sourced) and 0.02% sodium azide 100 ug 475
Bulk quote request
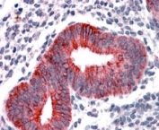
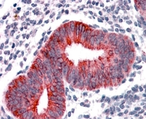
IHC testing of FFPE human uterus with VPS29 antibody at 4ug/ml. HIER: steamed with pH6 citrate buffer, AP-staining.
Availability 1-3 business days
Species Reactivity Human
Predicted Reactivity Dog, Mouse, Rat
Format Antigen affinity purified
Host Goat
Clonality Polyclonal (goat origin)
Isotype Goat Ig
Purity Antigen affinity
Gene ID 51699
Applications Immunohistochemistry (FFPE) : 4-8ug/ml
ELISA (peptide) LOD : 1:16000
Limitations This VPS29 antibody is available for research use only.
Review this product on BioCompare and get a $20 Amazon gift card

Related Products

  • Applications : WB, ELISA (peptide)
    Reactivity : Human
    Pred. Reactivity : Cow, Dog, Mouse, Rat

Description

Additional name(s) for this target protein: Vacuolar protein sorting 29

Application Notes

Optimal dilution of the VPS29 antibody should be determined by the researcher.

Immunogen

Amino acids CTGNLCTKESYDYLK were used as the immunogen for this VPS29 antibody.

Storage

Aliquot and store the VPS29 antibody at -20oC.

Cross
Bulk Quote Request Form
Name*:
Organization*:
Email*:
Phone Number*:
Catalog No.*:
Comments and Specifics(amount, formulation, etc.)*:
Validation code: Captchapackage Image


Can't read the image? click here to refresh.
    *required field

Your bulk quote request has been submitted successfully!

Please contact us if you have any questions.