• Tel: 858.663.9055
  • SeparatorEmail: info@nsjbio.com
  • Tel: 858.663.9055
  • Email: info@nsjbio.com
Home >> Antibodies >> VEGF Antibody / VEGFA

VEGF Antibody / VEGFA [clone VEGF/1063] (V2925)

  Catalog No Formulation Size Price (USD)  
Image V2925-100UG 0.2 mg/ml in 1X PBS with 0.1 mg/ml BSA (US sourced) and 0.05% sodium azide 100 ug 559
Image
V2925-20UG 0.2 mg/ml in 1X PBS with 0.1 mg/ml BSA (US sourced) and 0.05% sodium azide 20 ug 259
Image
V2925SAF-100UG 1 mg/ml in 1X PBS; BSA free, sodium azide free 100 ug 559
Bulk quote request
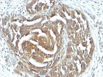
IHC: Formalin-fixed, paraffin-embedded human ovarian carcinoma stained with VEGF antibody (clone VEGF/1063).
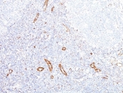
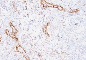
IHC: Formalin-fixed, paraffin-embedded human tonsil stained with VEGF antibody (clone VEGF/1063).
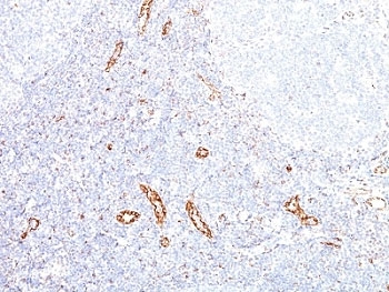
IHC: Formalin-fixed, paraffin-embedded human tonsil stained with VEGF antibody (clone VEGF/1063).
SDS-PAGE Analysis of Purified, BSA-Free VEGF Antibody (clone VEGF/1063). Confirmation of Integrity and Purity of the Antibody.
Availability 1-3 business days
Species Reactivity Human
Format Purified
Host Mouse
Clonality Monoclonal (mouse origin)
Isotype Mouse IgG1, kappa
Clone Name VEGF/1063
Purity Protein G affinity chromatography
UniProt P15692
Localization Cytoplasmic, cell surface and extracellular (secreted)
Applications Immunohistochemistry (FFPE) : 1-2ug/ml for 30 min at RT
Limitations This VEGF antibody is available for research use only.
Review this product on BioCompare and get a $20 Amazon gift card

Related Products

Description

This mAb recognizes proteins of 19-22kDa (reducing) and 38kDa-44kDa (non-reducing), identified as various isoforms of Vascular Endothelial Growth Factor or Vascular Permeability Factor (VEGF/VPF). It is highly specific to VEGF, which is a homodimeric, disulfide-linked glycoprotein with a close homology to platelet derived growth factor (PDGF). There are multiple isoforms of VEGF containing 206-, 189-, 165-, and 121-amino acid residues. The smaller two isoforms, VEGF165 and VEGF121, are secreted proteins and act as diffusible agents, whereas the larger two remain cell associated. VEGF/VPF plays an important role in angiogenesis, which promotes tumor progression and metastasis.

Application Notes

Optimal dilution of the VEGF antibody should be determined by the researcher.

1. Staining of formalin-fixed tissues requires boiling tissue sections in 10mM Tris with 1mM EDTA, pH 8, for 10-20 min followed by cooling at RT for 20 min.

Immunogen

Human recombinant protein was used as the immunogen for the VEGF antibody.

Storage

Store the VEGF antibody at 2-8oC (with azide) or aliquot and store at -20oC or colder (without azide).

Cross
Bulk Quote Request Form
Name*:
Organization*:
Email*:
Phone Number*:
Catalog No.*:
Comments and Specifics(amount, formulation, etc.)*:
Validation code: Captchapackage Image


Can't read the image? click here to refresh.
    *required field

Your bulk quote request has been submitted successfully!

Please contact us if you have any questions.