• Tel: 858.663.9055
  • SeparatorEmail: info@nsjbio.com
  • Tel: 858.663.9055
  • Email: info@nsjbio.com
Home >> Antibodies >> VEGF Antibody / VEGFA

VEGF Antibody / VEGFA (R31500)

  Catalog No Formulation Size Price (USD)  
Image R31500 0.5mg/ml if reconstituted with 0.2ml sterile DI water 100 ug 449
Bulk quote request
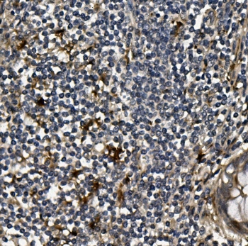
IHC staining of FFPE human rectal cancer with VEGF antibody. HIER: boil tissue sections in pH6, 10mM citrate buffer, for 20 min and allow to cool before testing.
IHC staining of FFPE human rectal cancer with VEGF antibody. HIER: boil tissue sections in pH6, 10mM citrate buffer, for 20 min and allow to cool before testing.
IHC staining of FFPE rat brain with VEGF antibody. HIER: boil tissue sections in pH6, 10mM citrate buffer, for 20 min and allow to cool before testing.
Western blot testing of 1) 20ng/lane recombinant protein, 2) 10ng/lane recombinant protein, 3) human U-87 MG, 4) human K562, 5) human U-251, 6) rat brain, 7) rat C6, 8) mouse brain and 9) mouse Neuro-2a cell lysate with VEGF antibody. Predicted molecular weight 19~22 kDa (monomer) and 38~44 kDa (dimer).
IHC staining of FFPE human ovarian serous adenocarcinoma tissue with VEGF antibody. HIER: boil tissue sections in pH8 EDTA for 20 min and allow to cool before testing.
IHC staining of FFPE human lung cancer tissue with VEGF antibody. HIER: boil tissue sections in pH8 EDTA for 20 min and allow to cool before testing.
Flow cytometry testing of fixed human K562 cells with VEGF antibody at 1ug/million cells (blocked with goat sera); Red=cells alone, Green=isotype control, Blue= VEGF antibody.
Availability 1-3 business days
Species Reactivity Human, Mouse, Rat
Format Antigen affinity purified
Host Rabbit
Clonality Polyclonal (rabbit origin)
Isotype Rabbit IgG
Purity Antigen affinity
Buffer Lyophilized from 1X PBS with 2% Trehalose
Gene ID 7422
Localization Cytoplasmic, cell surface and extracellular (secreted)
Applications Western Blot : 0.5-1ug/ml
Immunohistochemistry (FFPE) : 2-5ug/ml
Flow Cytometry : 1-3ug/million cells
Limitations This VEGF antibody is available for research use only.
Review this product on BioCompare and get a $20 Amazon gift card

Related Products

Description

VEGF is the only mitogen that specifically acts on endothelial cells. It may be a major regulator of tumor angiogenesis in vivo. It is structurally related to platelet-derived growth factor. VEGF shares homology with the PDGF A chain and B chain, including conservation of all 8 cysteines found in PDGFA and PDGFB. VEGF gene contains 8 exons. VEGF induces remodeling and enhances TH2-mediated sensitization and inflammation in the lung. And this gene also can regulate haematopoietic stem cell survival by an internal autocrine loop mechanism. What's more, it also stimulates neurogenesis in vitro and in vivo.

Application Notes

The stated application concentrations are suggested starting points. Titration of the VEGF antibody may be required due to differences in protocols and secondary/substrate sensitivity.

Immunogen

Human recombinant protein, A isoform (AA 27-191) was used as the immunogen for this VEGF antibody.

Storage

After reconstitution, the VEGF antibody can be stored for up to one month at 4oC. For long-term, aliquot and store at -20oC. Avoid repeated freezing and thawing.

Cross
Bulk Quote Request Form
Name*:
Organization*:
Email*:
Phone Number*:
Catalog No.*:
Comments and Specifics(amount, formulation, etc.)*:
Validation code: Captchapackage Image


Can't read the image? click here to refresh.
    *required field

Your bulk quote request has been submitted successfully!

Please contact us if you have any questions.