• Tel: 858.663.9055
  • SeparatorEmail: info@nsjbio.com
  • Tel: 858.663.9055
  • Email: info@nsjbio.com
Home >> Antibodies >> USP26 Antibody / Ubiquitin carboxyl-terminal hydrolase 26

USP26 Antibody / Ubiquitin carboxyl-terminal hydrolase 26 (RQ7383)

  Catalog No Formulation Size Price (USD)  
Image RQ7383 0.5mg/ml if reconstituted with 0.2ml sterile DI water 100 ug 449
Bulk quote request
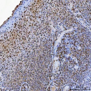
IHC staining of FFPE human tonsil tissue with USP26 antibody. HIER: boil tissue sections in pH8 EDTA for 20 min and allow to cool before testing.
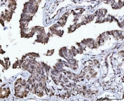
IHC staining of FFPE human lung adenocarcinoma tissue with USP26 antibody. HIER: boil tissue sections in pH8 EDTA for 20 min and allow to cool before testing.
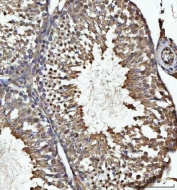
IHC staining of FFPE rat testis tissue with USP26 antibody. HIER: boil tissue sections in pH8 EDTA for 20 min and allow to cool before testing.
Western blot testing of 1) human HeLa, 2) rat heart, 3) rat liver and 4) mouse liver tissue lysate with USP26 antibody. Predicted molecular weight ~104 kDa.
Flow cytometry testing of human 293T cells with USP26 antibody at 1ug/million cells (blocked with goat sera); Red=cells alone, Green=isotype control, Blue= USP26 antibody.
Availability 1-3 business days
Species Reactivity Human, Mouse, Rat
Format Antigen affinity purified
Host Rabbit
Clonality Polyclonal (rabbit origin)
Isotype Rabbit IgG
Purity Antigen affinity purified
Buffer Lyophilized from 1X PBS with 2% Trehalose
UniProt Q9BXU7
Localization Nuclear
Applications Western Blot : 0.5-1ug/ml
Immunohistochemistry (FFPE) : 2-5ug/ml
Flow Cytometry : 1-3ug/million cells
Direct ELISA : 0.1-0.5ug/ml
Limitations This USP26 antibody is available for research use only.
Review this product on BioCompare and get a $20 Amazon gift card

Description

This gene encodes a member of the ubiquitin-specific processing (UBP) family of proteases and is a deubiquitinating enzyme (DUB) with His and Cys domains. It is specifically expressed in testis tissue. Mutations in this gene have been associated with Sertoli cell-only syndrome and male infertility.

Application Notes

Optimal dilution of the USP26 antibody should be determined by the researcher.

Immunogen

Recombinant human protein (amino acids M1-K762) was used as the immunogen for the USP26 antibody.

Storage

After reconstitution, the USP26 antibody can be stored for up to one month at 4oC. For long-term, aliquot and store at -20oC. Avoid repeated freezing and thawing.

Cross
Bulk Quote Request Form
Name*:
Organization*:
Email*:
Phone Number*:
Catalog No.*:
Comments and Specifics(amount, formulation, etc.)*:
Validation code: Captchapackage Image


Can't read the image? click here to refresh.
    *required field

Your bulk quote request has been submitted successfully!

Please contact us if you have any questions.