• Tel: 858.663.9055
  • SeparatorEmail: info@nsjbio.com
  • Tel: 858.663.9055
  • Email: info@nsjbio.com
Home >> Antibodies >> UHRF1 Antibody

UHRF1 Antibody (R32309)

  Catalog No Formulation Size Price (USD)  
Image R32309 0.5mg/ml if reconstituted with 0.2ml sterile DI water 100 ug 449
Bulk quote request
Immunofluorescent staining of FFPE human U-2 OS cells with UHRF1 antibody (green) and DAPI nuclear stain (blue). HIER: steam section in pH6 citrate buffer for 20 min.
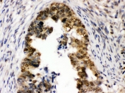
IHC testing of FFPE human intestinal cancer tissue with UHRF1 antibody. HIER: Boil the paraffin sections in pH 6, 10mM citrate buffer for 20 minutes and allow to cool prior to staining.
Flow cytometry testing of human A431 cells with UHRF1 antibody at 1ug/million cells (blocked with goat sera); Red=cells alone, Green=isotype control, Blue= UHRF1 antibody.
Flow cytometry testing of human U-2 OS cells with UHRF1 antibody at 1ug/million cells (blocked with goat sera); Red=cells alone, Green=isotype control, Blue= UHRF1 antibody.
Western blot testing of human 1) HEK293, 2) T-47D, 3) A549, 4) HepG2, 5) MDA-MB-453 and 6) Raji cell lysate with UHRF1 antibody. Expected molecular weight: 91-106 kDa.
Availability 1-3 business days
Species Reactivity Human
Format Antigen affinity purified
Host Rabbit
Clonality Polyclonal (rabbit origin)
Isotype Rabbit IgG
Purity Antigen affinity
Buffer Lyophilized from 1X PBS with 2.5% BSA and 0.025% sodium azide
UniProt Q96T88
Localization Nuclear
Applications Western Blot : 0.1-0.5ug/ml
Immunohistochemistry (FFPE) : 0.5-1ug/ml
Flow Cytometry : 1-3ug/million cells
Immunofluorescence : 2-4ug/ml
Limitations This UHRF1 antibody is available for research use only.
Review this product on BioCompare and get a $20 Amazon gift card

Related Products

  • Applications : FACS, IF, WB, ELISA
    Reactivity : Human
  • Applications : WB, ELISA
    Reactivity : Human
  • Applications : WB, ELISA
    Reactivity : Mouse
  • Applications : WB, ELISA (peptide)
    Reactivity : Human
    Pred. Reactivity : Dog, Mouse, Rat
  • Applications : WB, IF, FACS, Direct ELISA
    Reactivity : Human, Mouse

Description

Ubiquitin-like, containing PHD and RING finger domains, 1 is a protein which in humans is encoded by the UHRF1 gene. This gene encodes a member of a subfamily of RING-finger type E3 ubiquitin ligases. The protein binds to specific DNA sequences, and recruits a histone deacetylase to regulate gene expression. Its expression peaks at late G1 phase and continues during G2 and M phases of the cell cycle. It plays a major role in the G1/S transition by regulating topoisomerase IIalpha and retinoblastoma gene expression, and functions in the p53-dependent DNA damage checkpoint. It is regarded as a hub protein for the integration of epigenetic information. This gene is up-regulated in various cancers, and it is therefore considered to be a therapeutic target. Multiple transcript variants encoding different isoforms have been found for this gene. A related pseudogene exists on chromosome 12.

Application Notes

Optimal dilution of the UHRF1 antibody should be determined by the researcher.

Immunogen

Amino acids HTVDSLSRLTKVEELRRKIQELFHVEPGLQRLFYRGKQ of human UHRF1 were used as the immunogen for the UHRF1 antibody.

Storage

After reconstitution, the UHRF1 antibody can be stored for up to one month at 4oC. For long-term, aliquot and store at -20oC. Avoid repeated freezing and thawing.

Cross
Bulk Quote Request Form
Name*:
Organization*:
Email*:
Phone Number*:
Catalog No.*:
Comments and Specifics(amount, formulation, etc.)*:
Validation code: Captchapackage Image


Can't read the image? click here to refresh.
    *required field

Your bulk quote request has been submitted successfully!

Please contact us if you have any questions.