• Tel: 858.663.9055
  • SeparatorEmail: info@nsjbio.com
  • Tel: 858.663.9055
  • Email: info@nsjbio.com
Home >> Antibodies >> UBR5 Antibody

UBR5 Antibody (R34708)

  Catalog No Formulation Size Price (USD)  
Image R34708-100UG 0.5 mg/ml in 1X TBS, pH7.3, with 0.5% BSA (US sourced) and 0.02% sodium azide 100 ug 475
Bulk quote request
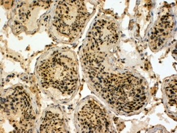
IHC testing of FFPE human testis with UBR5 antibody at 4ug/ml. HIER: steamed with pH9 Tris/EDTA buffer, HRP-staining. The antigen reveal step is REQUIRED for UBR5 detection.
IHC testing of FFPE human spleen tissue with UBR5 antibody at 3.75ug/ml. HIER: steamed antigen retrieval with pH6 citrate buffer; AP-staining.
Availability 1-3 business days
Species Reactivity Human
Predicted Reactivity Mouse, Rat, Pig, Cow
Format Antigen affinity purified
Host Goat
Clonality Polyclonal (goat origin)
Isotype Goat Ig
Purity Antigen affinity
Gene ID 51366
Applications Immunohistochemistry (FFPE) : 4ug/ml
ELISA (peptide) LOD : 1:4000
Limitations This UBR5 antibody is available for research use only.
Review this product on BioCompare and get a $20 Amazon gift card

Related Products

  • Applications : WB, FACS, ELISA
    Reactivity : Human, Mouse, Rat

Description

Additional name(s) for this target protein: E3 ubiquitin protein ligase, HECT domain containing 1, EDD1, HECT1

Application Notes

Optimal dilution of the UBR5 antibody should be determined by the researcher.

Immunogen

Amino acids LAIKTKNFGFV were used as the immunogen for this UBR5 antibody.

Storage

Aliquot and store the UBR5 antibody at -20oC.

Cross
Bulk Quote Request Form
Name*:
Organization*:
Email*:
Phone Number*:
Catalog No.*:
Comments and Specifics(amount, formulation, etc.)*:
Validation code: Captchapackage Image


Can't read the image? click here to refresh.
    *required field

Your bulk quote request has been submitted successfully!

Please contact us if you have any questions.