• Tel: 858.663.9055
  • SeparatorEmail: info@nsjbio.com
  • Tel: 858.663.9055
  • Email: info@nsjbio.com
Home >> Antibodies >> Ubiquitin-like modifier-activating enzyme 1 Antibody / UBA1

Ubiquitin-like modifier-activating enzyme 1 Antibody / UBA1 (F54754)

  Catalog No Formulation Size Price (USD)  
Image F54754-0.4ML In 1X PBS, pH 7.4, with 0.09% sodium azide 0.4 ml 439
Image
F54754-0.08ML In 1X PBS, pH 7.4, with 0.09% sodium azide 0.08 ml 205
Bulk quote request
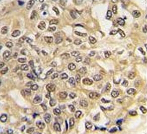
IHC testing of FFPE human hepatocellular carcinoma tissue with Ubiquitin-like modifier-activating enzyme 1 antibody. HIER: steam section in pH6 citrate buffer for 20 min and allow to cool prior to staining.
Western blot testing of mouse stomach tissue lysate with Ubiquitin-like modifier-activating enzyme 1 antibody. Expected molecular weight: ~118/114 kDa (isoforms a/b).
Western blot testing of human HL60 cell lysate with Ubiquitin-like modifier-activating enzyme 1 antibody. Expected molecular weight: ~118/114 kDa (isoforms a/b).
Availability 1-3 business days
Species Reactivity Human, Mouse
Format Purified
Host Rabbit
Clonality Polyclonal (rabbit origin)
Isotype Rabbit Ig
Purity Purified
UniProt P22314
Localization Cytoplasmic, nuclear
Applications Immunohistochemistry (FFPE) : 1:25
Western Blot : 1:500-1:2000
Limitations This Ubiquitin-like modifier-activating enzyme 1 antibody is available for research use only.
Review this product on BioCompare and get a $20 Amazon gift card

Related Products

Description

UBE1 / UBA1 catalyzes the first step in ubiquitin conjugation to mark cellular proteins for degradation. This gene complements an X-linked mouse temperature-sensitive defect in DNA synthesis, and thus may function in DNA repair. It is part of a gene cluster on chromosome Xp11.23. Alternative splicing results in 2 transcript variants encoding the same protein, but with different 5' UTR.

Application Notes

The stated application concentrations are suggested starting points. Titration of the Ubiquitin-like modifier-activating enzyme 1 antibody may be required due to differences in protocols and secondary/substrate sensitivity.

Immunogen

A portion of amino acids 1026-1058 from the human protein was used as the immunogen for the Ubiquitin-like modifier-activating enzyme 1 antibody.

Storage

Aliquot the Ubiquitin-like modifier-activating enzyme 1 antibody and store frozen at -20oC or colder. Avoid repeated freeze-thaw cycles.

Cross
Bulk Quote Request Form
Name*:
Organization*:
Email*:
Phone Number*:
Catalog No.*:
Comments and Specifics(amount, formulation, etc.)*:
Validation code: Captchapackage Image


Can't read the image? click here to refresh.
    *required field

Your bulk quote request has been submitted successfully!

Please contact us if you have any questions.