• Tel: 858.663.9055
  • SeparatorEmail: info@nsjbio.com
  • Tel: 858.663.9055
  • Email: info@nsjbio.com
Home >> Antibodies >> UBE2F Antibody

UBE2F Antibody (R34233)

  Catalog No Formulation Size Price (USD)  
Image R34233-100UG 0.5 mg/ml in 1X TBS, pH7.3, with 0.5% BSA (US sourced) and 0.02% sodium azide 100 ug 475
Bulk quote request
Western blot testing of mouse liver lysate with UBE2F antibody at 0.05ug/ml. Predicted molecular weight: ~21kDa.
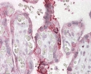
IHC testing of FFPE human placenta with UBE2F antibody at 2.5ug/ml shows membrane staining in trophoblasts.
Availability 1-3 business days
Species Reactivity Human, Mouse
Predicted Reactivity Cow, Dog, Rat
Format Antigen affinity purified
Host Goat
Clonality Polyclonal (goat origin)
Isotype Goat Ig
Purity Antigen affinity
Gene ID 140739
Applications Western Blot : 0.05-0.2ug/ml
Immunohistochemistry (FFPE) : 2.5-5ug/ml
ELISA (peptide) LOD : 1:32000
Limitations This UBE2F antibody is available for research use only.
Review this product on BioCompare and get a $20 Amazon gift card

Related Products

  • Applications : WB, ELISA (peptide)
    Reactivity : Human, Mouse, Rat
    Pred. Reactivity : Cow, Dog, Pig
  • Applications : WB, IHC, ICC/IF, FACS, ELISA
    Reactivity : Human, Mouse, Rat

Description

Additional name(s) for this target protein: Ubiquitin-conjugating enzyme E2F

Application Notes

Optimal dilution of the UBE2F antibody should be determined by the researcher.

Immunogen

Amino acids HLRDKEDFRNKVDD were used as the immunogen for this UBE2F antibody.

Storage

Aliquot and store the UBE2F antibody at -20oC.

Cross
Bulk Quote Request Form
Name*:
Organization*:
Email*:
Phone Number*:
Catalog No.*:
Comments and Specifics(amount, formulation, etc.)*:
Validation code: Captchapackage Image


Can't read the image? click here to refresh.
    *required field

Your bulk quote request has been submitted successfully!

Please contact us if you have any questions.