• Tel: 858.663.9055
  • SeparatorEmail: info@nsjbio.com
  • Tel: 858.663.9055
  • Email: info@nsjbio.com
Home >> Antibodies >> UBA6 Antibody / UBE1L2

UBA6 Antibody / UBE1L2 (RQ7439)

  Catalog No Formulation Size Price (USD)  
Image RQ7439 0.5mg/ml if reconstituted with 0.2ml sterile DI water 100 ug 449
Bulk quote request
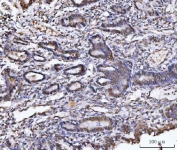
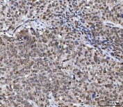
IHC staining of FFPE human ovarian cancer tissue with UBA6 antibody. HIER: boil tissue sections in pH8 EDTA for 20 min and allow to cool before testing.
IHC staining of FFPE human cervical cancer tissue with UBA6 antibody. HIER: boil tissue sections in pH8 EDTA for 20 min and allow to cool before testing.
IHC staining of FFPE human lung squamous cell carcinoma tissue with UBA6 antibody. HIER: boil tissue sections in pH8 EDTA for 20 min and allow to cool before testing.
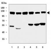
Western blot testing of 1) human MOLT-4, 2) human MCF7, 3) monkey COS-7, 4) rat testis, 5) rat C6 and 6) mouse NIH 3T3 cell lysate with UBA6 antibody. Predicted molecular weight ~118 kDa with isoforms of ~66 kDa, ~43 kDa and ~38 kDa.
Flow cytometry testing of human PC-3 cells with UBA6 antibody at 1ug/million cells (blocked with goat sera); Red=cells alone, Green=isotype control, Blue= UBA6 antibody.
Availability 1-3 business days
Species Reactivity Human, Monkey, Mouse, Rat
Format Antigen affinity purified
Host Rabbit
Clonality Polyclonal (rabbit origin)
Isotype Rabbit IgG
Purity Antigen affinity purified
Buffer Lyophilized from 1X PBS with 2% Trehalose
UniProt A0AVT1
Localization Cytoplasmic
Applications Western Blot : 0.5-1ug/ml
Immunohistochemistry (FFPE) : 2-5ug/ml
Flow Cytometry : 1-3ug/million cells
Direct ELISA : 0.1-0.5ug/ml
Limitations This UBA6 antibody is available for research use only.
Review this product on BioCompare and get a $20 Amazon gift card

Description

Modification of proteins with ubiquitin (UBB; MIM 191339) or ubiquitin-like proteins controls many signaling networks and requires a ubiquitin-activating enzyme (E1), a ubiquitin conjugating enzyme (E2), and a ubiquitin protein ligase (E3). UBA6/UBE1L2 is an E1 enzyme that initiates the activation and conjugation of ubiquitin-like proteins.

Application Notes

Optimal dilution of the UBA6 antibody should be determined by the researcher.

Immunogen

E. coli-derived recombinant human protein (amino acids I85-D1033) was used as the immunogen for the UBA6 antibody.

Storage

After reconstitution, the UBA6 antibody can be stored for up to one month at 4oC. For long-term, aliquot and store at -20oC. Avoid repeated freezing and thawing.

Cross
Bulk Quote Request Form
Name*:
Organization*:
Email*:
Phone Number*:
Catalog No.*:
Comments and Specifics(amount, formulation, etc.)*:
Validation code: Captchapackage Image


Can't read the image? click here to refresh.
    *required field

Your bulk quote request has been submitted successfully!

Please contact us if you have any questions.