• Tel: 858.663.9055
  • SeparatorEmail: info@nsjbio.com
  • Tel: 858.663.9055
  • Email: info@nsjbio.com
Home >> Antibodies >> TUBB1 Antibody / Tubulin beta

TUBB1 Antibody / Tubulin beta (RQ5777)

  Catalog No Formulation Size Price (USD)  
Image RQ5777 0.5mg/ml if reconstituted with 0.2ml sterile DI water 100 ug 449
Bulk quote request
Immunofluorescent staining of FFPE human U-2 OS cells with TUBB1 antibody (red) and DAPI nuclear stain (blue). HIER: steam section in pH6 citrate buffer for 20 min.
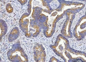
IHC staining of FFPE human rectal cancer tissue with TUBB1 antibody. HIER: boil tissue sections in pH8 EDTA for 20 min and allow to cool before testing.
Western blot testing of 1) human HeLa, 2) human ThP-1, 3) rat brain and 4) mouse brain lysate with TUBB1 antibody. Expected molecular weight: 50-55 kDa.
Western blot testing of 1) human HeLa, 2) human K562, 3) human HEL, 4) human HepG2, 5) rat brain and 6) mouse brain lysate with TUBB1 antibody. Expected molecular weight: 50-55 kDa.
Flow cytometry testing of human SiHa cells with TUBB1 antibody at 1ug/million cells (blocked with goat sera); Red=cells alone, Green=isotype control, Blue= TUBB1 antibody.
Availability 1-3 business days
Species Reactivity Human, Mouse, Rat
Format Antigen affinity purified
Host Rabbit
Clonality Polyclonal (rabbit origin)
Isotype Rabbit IgG
Purity Affinity purified
Buffer Lyophilized from 1X PBS with 2% Trehalose
UniProt Q9H4B7
Applications Western Blot : 0.5-1ug/ml
Immunofluorescence : 5ug/ml
Flow Cytometry : 1-3ug/million cells
Immunohistochemistry (FFPE) : 2-5ug/ml
Direct ELISA : 0.1-0.5ug/ml
Limitations This TUBB1 antibody is available for research use only.
Review this product on BioCompare and get a $20 Amazon gift card

Related Products

  • Applications : WB, IHC, IF, ELISA
    Reactivity : Human, Mouse
  • Applications : WB, IHC, IF, ELISA
    Reactivity : Human, Mouse, Rat
    Pred. Reactivity : Bovine, Chicken, Hamster, Pig, Rat, Xenopus
  • Applications : WB
    Reactivity : Human, Mouse, Rat, Primate, Dog
  • Applications : WB, ELISA
    Reactivity : Human
    Pred. Reactivity : Bovine, Chicken, Mouse, Pig, Primate, Rat, Xenopus
  • Applications : IF, WB, IHC, ELISA
    Reactivity : Human
    Pred. Reactivity : Mouse, Rat, Bovine, Pig, Primate, Chicken, Xenopus
  • Applications : WB, IHC, ELISA
    Reactivity : Human
    Pred. Reactivity : Bovine, Chicken, Drosophila, Hamster, Mouse, Pig, Rat, Xenopus
  • Applications : WB, ELISA
    Reactivity : Human
  • Applications : WB, ELISA
    Reactivity : Human
    Pred. Reactivity : Bovine, Mouse, Primate
  • Applications : WB, ELISA
    Reactivity : Human
  • Applications : WB, ELISA
    Reactivity : Human
  • Applications : WB, IHC, FACS, ELISA
    Reactivity : Human
  • Applications : WB, IHC, FACS, ELISA
    Reactivity : Human, Mouse
    Pred. Reactivity : Bovine, Chicken, Primate, Rat
  • Applications : WB, IHC, ELISA
    Reactivity : Human
  • Applications : WB, ELISA (peptide)
    Reactivity : Human
    Pred. Reactivity : Cow, Mouse, Pig, Rat
  • Applications : WB, IHC-P, FACS
    Reactivity : Human, Mouse, Rat
  • Applications : WB
    Reactivity : Mouse
    Pred. Reactivity : Bovine, C. elegans, Chicken, Drosophila, Hamster, Human, Primate, Rat, Xenopus
  • Applications : WB
    Reactivity : Human, Mouse, Rat
    Pred. Reactivity : Primate

Description

TUBB1 is a gene that codes for the protein Tubulin beta-1 chain in humans. This gene encodes a member of the beta tubulin protein family. Beta tubulins are one of two core protein families (alpha and beta tubulins) that heterodimerize and assemble to form microtubules. This protein is specifically expressed in platelets and megakaryocytes and may be involved in proplatelet production and platelet release. A mutations in this gene is associated with autosomal dominant macrothrombocytopenia. Two pseudogenes of this gene are found on chromosome Y.

Application Notes

Optimal dilution of the TUBB1 antibody should be determined by the researcher.

Immunogen

Recombinant human protein (amino acids A18-D435) was used as the immunogen for the TUBB1 antibody.

Storage

After reconstitution, the TUBB1 antibody can be stored for up to one month at 4oC. For long-term, aliquot and store at -20oC. Avoid repeated freezing and thawing.

Cross
Bulk Quote Request Form
Name*:
Organization*:
Email*:
Phone Number*:
Catalog No.*:
Comments and Specifics(amount, formulation, etc.)*:
Validation code: Captchapackage Image


Can't read the image? click here to refresh.
    *required field

Your bulk quote request has been submitted successfully!

Please contact us if you have any questions.