• Tel: 858.663.9055
  • SeparatorEmail: info@nsjbio.com
  • Tel: 858.663.9055
  • Email: info@nsjbio.com
Home >> Antibodies >> TSLP Antibody / Thymic stromal lymphopoietin

TSLP Antibody / Thymic stromal lymphopoietin (R32884)

  Catalog No Formulation Size Price (USD)  
Image R32884 0.5mg/ml if reconstituted with 0.2ml sterile DI water 100 ug 439
Bulk quote request
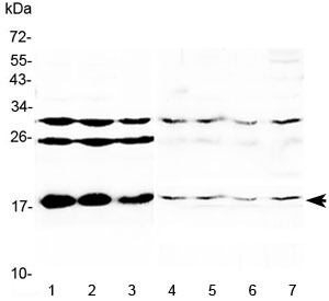
Western blot testing of 1) mouse liver, 2) mouse kidney, 3) mouse testis, 4) rat heart, 5) rat liver, 6) rat kidney and 7) rat testis lysate with TSLP antibody at 0.5ug/ml. Predicted molecular weight ~18 kDa.
Availability 1-3 business days
Species Reactivity Mouse, Rat
Format Antigen affinity purified
Clonality Polyclonal (rabbit origin)
Isotype Rabbit IgG
Purity Antigen affinity
Buffer Lyophilized from 1X PBS with 2.5% BSA, 0.025% sodium azide
UniProt Q9JIE6
Localization Secreted
Applications Western Blot : 0.5-1ug/ml
Limitations This TSLP antibody is available for research use only.
Review this product on BioCompare and get a $20 Amazon gift card

Related Products

Description

Thymic stromal lymphopoietin, also called TSLP is a protein belonging to the cytokine family. This gene is mapped to 5q22.1. It encodes a hemopoietic cytokine proposed to signal through a heterodimeric receptor complex composed of the thymic stromal lymphopoietin receptor and the IL-7R alpha chain. It mainly impacts myeloid cells and induces the release of T cell-attracting chemokines from monocytes and enhances the maturation of CD11c(+) dendritic cells. The protein promotes T helper type 2(TH2) cell responses that are associated with immunity in various inflammatory diseases, including asthma, allergic inflammation and chronic obstructive pulmonary disease. The protein is therefore considered a potential therapeutic target for the treatment of such diseases.

Application Notes

Optimal dilution of the TSLP antibody should be determined by the researcher.

Immunogen

Amino acids QEMAQEVQNICLNQTSQILRLWYSFMQSPE were used as the immunogen for the TSLP antibody.

Storage

After reconstitution, the TSLP antibody can be stored for up to one month at 4oC. For long-term, aliquot and store at -20oC. Avoid repeated freezing and thawing.

Cross
Bulk Quote Request Form
Name*:
Organization*:
Email*:
Phone Number*:
Catalog No.*:
Comments and Specifics(amount, formulation, etc.)*:
Validation code: Captchapackage Image


Can't read the image? click here to refresh.
    *required field

Your bulk quote request has been submitted successfully!

Please contact us if you have any questions.