• Tel: 858.663.9055
  • SeparatorEmail: info@nsjbio.com
  • Tel: 858.663.9055
  • Email: info@nsjbio.com
Home >> Antibodies >> TSC1 Antibody

TSC1 Antibody (R35353)

  Catalog No Formulation Size Price (USD)  
Image R35353-100UG 0.5 mg/ml in 1X TBS, pH7.3, with 0.5% BSA (US sourced) and 0.02% sodium azide 100 ug 475
Bulk quote request
Western blot testing of human brain lysate with TSC1 antibody at 0.1ug/ml. Expected/observed molecular weight: 130~150kDa.
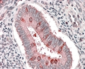
IHC staining of FFPE human uterus with TSC1 antibody at 3.8ug/ml. HIER: steamed with pH6 citrate buffer, AP-staining.
Western blot of HEK293 lysate overexpressing human TSC1 probed with TSC1 antibody (mock transfection in lane 1). Expected/observed molecular weight: 130~150/120kDa.
Availability 1-3 business days
Species Reactivity Human
Predicted Reactivity Dog, Mouse, Rat
Format Antigen affinity purified
Host Goat
Clonality Polyclonal (goat origin)
Isotype Goat Ig
Purity Antigen affinity
Gene ID 7248
Applications Western Blot : 0.1-1ug/ml
Immunohistochemistry (FFPE) : 3-6ug/ml
ELISA (peptide) LOD : 1:128000
Limitations This TSC1 antibody is available for research use only.
Review this product on BioCompare and get a $20 Amazon gift card

Related Products

Description

Additional name(s) for this target protein: Tuberous sclerosis 1, Hamartin

Application Notes

Optimal dilution of the TSC1 antibody should be determined by the researcher.

1. This TSC1 antibody is specific for isoform 1.

Immunogen

Amino acids QLHIMDYNETHHEH were used as the immunogen for this TSC1 antibody.

Storage

Aliquot and store the TSC1 antibody at -20oC.

Cross
Bulk Quote Request Form
Name*:
Organization*:
Email*:
Phone Number*:
Catalog No.*:
Comments and Specifics(amount, formulation, etc.)*:
Validation code: Captchapackage Image


Can't read the image? click here to refresh.
    *required field

Your bulk quote request has been submitted successfully!

Please contact us if you have any questions.