• Tel: 858.663.9055
  • SeparatorEmail: info@nsjbio.com
  • Tel: 858.663.9055
  • Email: info@nsjbio.com
Home >> Antibodies >> TROP2 Antibody / TACSTD2

TROP2 Antibody / TACSTD2 [clone TACSTD2/2152] (V3852)

  Catalog No Formulation Size Price (USD)  
Image V3852-100UG 0.2 mg/ml in 1X PBS with 0.1 mg/ml BSA (US sourced) and 0.05% sodium azide 100 ug 559
Image
V3852-20UG 0.2 mg/ml in 1X PBS with 0.1 mg/ml BSA (US sourced) and 0.05% sodium azide 20 ug 259
Image
V3852SAF-100UG 1 mg/ml in 1X PBS; BSA free, sodium azide free 100 ug 559
Microvalidated
Bulk quote request
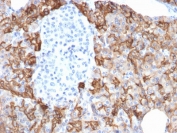
IHC testing of FFPE human pancreatic carcinoma with TROP2 antibody (clone TACSTD2/2152). Required HIER: boil tissue sections in pH 9 10mM Tris with 1mM EDTA for 10-20 min followed by cooling at RT for 20 min.
IHC testing of FFPE human pancreatic carcinoma with TROP2 antibody (clone TACSTD2/2152). Required HIER: boil tissue sections in pH 9 10mM Tris with 1mM EDTA for 10-20 min followed by cooling at RT for 20 min.
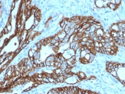
IHC testing of FFPE human colon carcinoma with TROP2 antibody (clone TACSTD2/2152). Required HIER: boil tissue sections in pH6, 10mM citrate buffer, for 10-20 min followed by cooling at RT for 20 min.
Immunofluorescent staining of human MCF7 cells with TROP2 antibody (green, clone TACSTD2/2152) and Reddot nuclear stain (red).
Analysis of HuProt(TM) microarray containing more than 19,000 full-length human proteins using TROP2 antibody (clone TACSTD2/2152). These results demonstrate the foremost specificity of the TACSTD2/2152 mAb.
Z- and S- score: The Z-score represents the strength of a signal that an antibody (in combination with a fluorescently-tagged anti-IgG secondary Ab) produces when binding to a particular protein on the HuProt(TM) array. Z-scores are described in units of standard deviations (SD's) above the mean value of all signals generated on that array. If the targets on the HuProt(TM) are arranged in descending order of the Z-score, the S-score is the difference (also in units of SD's) between the Z-scores. The S-score therefore represents the relative target specificity of an Ab to its intended target.
SDS-PAGE analysis of purified, BSA-free TROP2 antibody (clone TACSTD2/2152) as confirmation of integrity and purity.
Availability 1-3 business days
Species Reactivity Human
Format Purified
Host Mouse
Clonality Monoclonal (mouse origin)
Isotype Mouse IgG1, kappa
Clone Name TACSTD2/2152
Purity Protein G affinity chromatography
UniProt P09758
Localization Cytoplasmic
Applications Immunofluorescence : 1-2ug/ml
Immunohistochemistry (FFPE) : 1-2ug/ml for 30 min at RT
Limitations This TROP2 antibody is available for research use only.
Review this product on BioCompare and get a $20 Amazon gift card

Related Products

Description

TACSTD2, also called TROP2, is a cell surface glycoprotein receptor. It is a single pass type I membrane protein containing one thyroglobulin type-1 domain, an epidermal growth factor-like repeat, a phosphatidylinositol binding site and tyrosine phosphorylation sites near the C-terminus. It plays a role in transducing intracellular calcium signals. It is expressed in trophoblast cells, cornea and multi-stratified epithelia. It is also highly expressed in several types of tumors and is involved in regulating the growth of carcinoma cells.

Application Notes

Optimal dilution of the TROP2 antibody should be determined by the researcher.

Immunogen

A portion of amino acids 31-274 were used as the immunogen for the TROP2 antibody.

Storage

Store the TROP2 antibody at 2-8oC (with azide) or aliquot and store at -20oC or colder (without azide).

Cross
Bulk Quote Request Form
Name*:
Organization*:
Email*:
Phone Number*:
Catalog No.*:
Comments and Specifics(amount, formulation, etc.)*:
Validation code: Captchapackage Image


Can't read the image? click here to refresh.
    *required field

Your bulk quote request has been submitted successfully!

Please contact us if you have any questions.