• Tel: 858.663.9055
  • SeparatorEmail: info@nsjbio.com
  • Tel: 858.663.9055
  • Email: info@nsjbio.com
Home >> Antibodies >> TRIP13 Antibody / PCH2 / Pachytene checkpoint protein 2 homolog

TRIP13 Antibody / PCH2 / Pachytene checkpoint protein 2 homolog (F54779)

  Catalog No Formulation Size Price (USD)  
Image F54779-0.4ML In 1X PBS, pH 7.4, with 0.09% sodium azide 0.4 ml 439
Image
F54779-0.08ML In 1X PBS, pH 7.4, with 0.09% sodium azide 0.08 ml 205
Bulk quote request
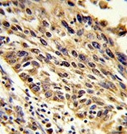
IHC testing of FFPE human lung carcinoma tissue with TRIP13 antibody. HIER: steam section in pH6 citrate buffer for 20 min and allow to cool prior to staining.
Western blot testing of 1) non-transfected and 2) transfected 293 cell lysate with TRIP13 antibody. Predicted molecular weight ~49 kDa.
Flow cytometry testing of human K562 cells with TRIP13 antibody; Blue=isotype control, Green= TRIP13 antibody.
Availability 1-3 business days
Species Reactivity Human
Format Purified
Host Rabbit
Clonality Polyclonal (rabbit origin)
Isotype Rabbit Ig
Purity Purified
UniProt Q15645
Localization Cytoplasmic, nuclear
Applications Western Blot : 1:500-1:2000
Immunohistochemistry (FFPE) : 1:25
Flow Cytometry : 1:25 (1x10e6 cells)
Limitations This TRIP13 antibody is available for research use only.
Review this product on BioCompare and get a $20 Amazon gift card

Related Products

Description

TRIP13 specifically interacts with the ligand binding domain of the thyroid receptor (TR). This interaction does not require the presence of thyroid hormone for its interaction.

Application Notes

The stated application concentrations are suggested starting points. Titration of the TRIP13 antibody may be required due to differences in protocols and secondary/substrate sensitivity.

Immunogen

A portion of amino acids 64-90 from the human protein was used as the immunogen for the TRIP13 antibody.

Storage

Aliquot the TRIP13 antibody and store frozen at -20oC or colder. Avoid repeated freeze-thaw cycles.

Cross
Bulk Quote Request Form
Name*:
Organization*:
Email*:
Phone Number*:
Catalog No.*:
Comments and Specifics(amount, formulation, etc.)*:
Validation code: Captchapackage Image


Can't read the image? click here to refresh.
    *required field

Your bulk quote request has been submitted successfully!

Please contact us if you have any questions.