• Tel: 858.663.9055
  • SeparatorEmail: info@nsjbio.com
  • Tel: 858.663.9055
  • Email: info@nsjbio.com
Home >> Antibodies >> TPTE Antibody

TPTE Antibody (R33978)

  Catalog No Formulation Size Price (USD)  
Image R33978-100UG 0.5 mg/ml in 1X TBS, pH7.3, with 0.5% BSA (US sourced) and 0.02% sodium azide 100 ug 475
Bulk quote request
Western blot testing of human testis lysate with TPTE antibody at 1ug/ml. Predicted molecular weight: ~60 kDa.
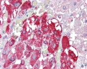
IHC testing of FFPE human adrenal gland tissue with TPTE antibody at 2.5ug/ml. Required HIER: steamed antigen retrieval with pH6 citrate buffer; AP-staining.
Availability 1-3 business days
Species Reactivity Human
Format Antigen affinity purified
Host Goat
Clonality Polyclonal (goat origin)
Isotype Goat Ig
Purity Antigen affinity
Gene ID 7179
Localization Cytoplasmic, membrane
Applications Western Blot : 1-3ug/ml
IHC (FFPE) : 2.5ug/ml
ELISA (peptide) LOD : 1:16000
Limitations This TPTE antibody is available for research use only.
Review this product on BioCompare and get a $20 Amazon gift card

Description

Additional name(s) for this target protein: Transmembrane phosphatase with tensin homology; PTEN2

Application Notes

Optimal dilution of the TPTE antibody should be determined by the researcher.

1. This TPTE antibody may also detect TPTE2.

Immunogen

Amino acids ERRTDKTHSEKFQ were used as the immunogen for this TPTE antibody.

Storage

Aliquot and store the TPTE antibody at -20oC.

Cross
Bulk Quote Request Form
Name*:
Organization*:
Email*:
Phone Number*:
Catalog No.*:
Comments and Specifics(amount, formulation, etc.)*:
Validation code: Captchapackage Image


Can't read the image? click here to refresh.
    *required field

Your bulk quote request has been submitted successfully!

Please contact us if you have any questions.