• Tel: 858.663.9055
  • SeparatorEmail: info@nsjbio.com
  • Tel: 858.663.9055
  • Email: info@nsjbio.com
Home >> Antibodies >> TPD52 Antibody

TPD52 Antibody (R36165)

  Catalog No Formulation Size Price (USD)  
Image R36165-100UG 0.5 mg/ml in 1X TBS, pH7.3, with 0.5% BSA (US sourced) and 0.02% sodium azide 100 ug 475
Bulk quote request
Western blot testing of human lymph node lysate with TPD52 antibody at 1ug/ml. Predicted molecular weight: 20~26 kDa (isoforms 1-7).
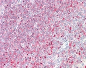
IHC testing of FFPE human spleen tissue with TPD52 antibody at 3.75ug/ml. Required HIER: steamed antigen retrieval with pH6 citrate buffer; AP-staining.
Availability 1-3 business days
Species Reactivity Human
Predicted Reactivity Dog
Format Antigen affinity purified
Host Goat
Clonality Polyclonal (goat origin)
Isotype Goat Ig
Purity Antigen affinity
Gene ID 7163
Localization Cytoplasmic
Applications Western Blot : 1-3ug/ml
IHC (FFPE) : 3.75ug/ml
ELISA (peptide) LOD : 1:8000
Limitations This TPD52 antibody is available for research use only.
Review this product on BioCompare and get a $20 Amazon gift card

Related Products

Description

Additional name(s) for this target protein: Tumor protein D52

Application Notes

Optimal dilution of the TPD52 antibody should be determined by the researcher.

Immunogen

Amino acids TEPLPEKTQES were used as the immunogen for this TPD52 antibody. This sequence is common to isoforms 1-7 (UniProt #P55327).

Storage

Aliquot and store the TPD52 antibody at -20oC.

Cross
Bulk Quote Request Form
Name*:
Organization*:
Email*:
Phone Number*:
Catalog No.*:
Comments and Specifics(amount, formulation, etc.)*:
Validation code: Captchapackage Image


Can't read the image? click here to refresh.
    *required field

Your bulk quote request has been submitted successfully!

Please contact us if you have any questions.