• Tel: 858.663.9055
  • SeparatorEmail: info@nsjbio.com
  • Tel: 858.663.9055
  • Email: info@nsjbio.com
Home >> Antibodies >> Tousled-like kinase 1 Antibody / TLK1

Tousled-like kinase 1 Antibody / TLK1 (F54965)

  Catalog No Formulation Size Price (USD)  
Image F54965-0.4ML In 1X PBS, pH 7.4, with 0.09% sodium azide 0.4 ml 439
Image
F54965-0.08ML In 1X PBS, pH 7.4, with 0.09% sodium azide 0.08 ml 205
Bulk quote request
Western blot testing of human 1) A431 and 2) HeLa cell lysate with Tousled-like kinase 1 antibody. Predicted molecular weight ~87 kDa.
Western blot testing of human K562 cell lysate with Tousled-like kinase 1 antibody. Predicted molecular weight ~87 kDa.
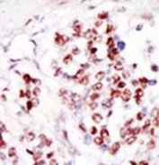
IHC testing of FFPE human cancer tissue with Tousled-like kinase 1 antibody. HIER: steam section in pH6 citrate buffer for 20 min and allow to cool prior to staining.
Availability 1-3 business days
Species Reactivity Human
Format Purified
Host Rabbit
Clonality Polyclonal (rabbit origin)
Isotype Rabbit Ig
Purity Purified
UniProt Q9UKI8
Localization Nuclear
Applications Immunohistochemistry (FFPE) : 1:50-1:100
Western Blot : 1:1000-1:20000
Limitations This Tousled-like kinase 1 antibody is available for research use only.
Review this product on BioCompare and get a $20 Amazon gift card

Description

The Tousled-like kinases, first described in Arabadopsis, are nuclear serine/threonine kinases that are potentially involved in the regulation of chromatin assembly.[supplied by OMIM]

Application Notes

The stated application concentrations are suggested starting points. Titration of the Tousled-like kinase 1 antibody may be required due to differences in protocols and secondary/substrate sensitivity.

Immunogen

A portion of amino acids 720-750 from the human protein was used as the immunogen for the Tousled-like kinase 1 antibody.

Storage

Aliquot the Tousled-like kinase 1 antibody and store frozen at -20oC or colder. Avoid repeated freeze-thaw cycles.

Cross
Bulk Quote Request Form
Name*:
Organization*:
Email*:
Phone Number*:
Catalog No.*:
Comments and Specifics(amount, formulation, etc.)*:
Validation code: Captchapackage Image


Can't read the image? click here to refresh.
    *required field

Your bulk quote request has been submitted successfully!

Please contact us if you have any questions.