• Tel: 858.663.9055
  • SeparatorEmail: info@nsjbio.com
  • Tel: 858.663.9055
  • Email: info@nsjbio.com
Home >> Antibodies >> TOP1MT Antibody / Topoisomerase I mitochondrial

TOP1MT Antibody / Topoisomerase I mitochondrial [clone TOP1MT/568] (V7684)

  Catalog No Formulation Size Price (USD)  
Image V7684-100UG 0.2 mg/ml in 1X PBS with 0.1 mg/ml BSA (US sourced) and 0.05% sodium azide 100 ug 559
Image
V7684-20UG 0.2 mg/ml in 1X PBS with 0.1 mg/ml BSA (US sourced) and 0.05% sodium azide 20 ug 259
Image
V7684SAF-100UG 1 mg/ml in 1X PBS; BSA free, sodium azide free 100 ug 559
Bulk quote request
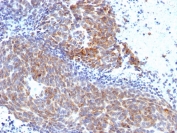
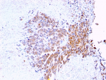
IHC testing of FFPE human melanoma with TOP1MT antibody (clone TOP1MT/568). HIER: boil tissue sections in pH 9 10mM Tris with 1mM EDTA for 10-20 min followed by cooling at RT for 20 min.
IHC testing of FFPE human melanoma with TOP1MT antibody (clone TOP1MT/568). HIER: boil tissue sections in pH 9 10mM Tris with 1mM EDTA for 10-20 min followed by cooling at RT for 20 min.
SDS-PAGE analysis of purified, BSA-free TOP1MT antibody (clone TOP1MT/568) as confirmation of integrity and purity.
Availability 1-3 business days
Species Reactivity Human
Format Purified
Host Mouse
Clonality Monoclonal (mouse origin)
Isotype Mouse IgG1, kappa
Clone Name TOP1MT/568
Purity Protein G affinity chromatography
UniProt Q969P6
Localization Cytoplasmic (mitochondria)
Applications Immunohistochemistry (FFPE) : 1-2ug/ml
Limitations This TOP1MT antibody is available for research use only.
Review this product on BioCompare and get a $20 Amazon gift card

Related Products

Description

DNA topoisomerases are nuclear enzymes that regulate the topological structure of DNA in eukaryotic cells by transiently breaking and rejoining DNA strands. Due to their roles in DNA replication, recombination, and transcription, DNA topoisomerases have been identified as targets of numerous anticancer drugs. Mitochondrial Topo I (DNA topoisomerase I, mitochondrial) is a 601 amino acid protein that primarily acts to relieve DNA strain that may occur during duplication of mitochondrial DNA. As a type IB topoisomerase, mitochondrial Topo I requires a divalent metal, either, calcium or magnesium, as well as an alkaline pH for optimal activity.

Application Notes

Optimal dilution of the TOP1MT antibody should be determined by the researcher.

Immunogen

Recombinant full-length human protein was used as the immunogen for the TOP1MT antibody.

Storage

Store the TOP1MT antibody at 2-8oC (with azide) or aliquot and store at -20oC or colder (without azide).

Cross
Bulk Quote Request Form
Name*:
Organization*:
Email*:
Phone Number*:
Catalog No.*:
Comments and Specifics(amount, formulation, etc.)*:
Validation code: Captchapackage Image


Can't read the image? click here to refresh.
    *required field

Your bulk quote request has been submitted successfully!

Please contact us if you have any questions.