• Tel: 858.663.9055
  • SeparatorEmail: info@nsjbio.com
  • Tel: 858.663.9055
  • Email: info@nsjbio.com
Home >> Antibodies >> TLR5 Antibody

TLR5 Antibody [clone AADF-20] (RQ4760)

  Catalog No Formulation Size Price (USD)  
Image RQ4760 Antibody in PBS with 0.02% sodium azide, 50% glycerol and 0.4-0.5mg/ml BSA 100 ul 449
Microvalidated Rab Mono Image
Bulk quote request
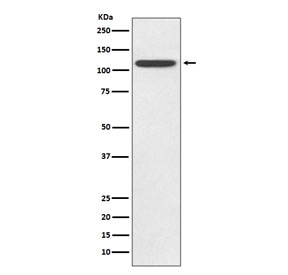
Western blot testing of human HeLa lysate with TLR5 antibody. Expected molecular weight ~98 kDa.
Availability 1-2 weeks
Species Reactivity Human
Format Purified
Host Rabbit
Clonality Rabbit Monoclonal
Isotype Rabbit IgG
Clone Name AADF-20
Purity Affinity purified
UniProt O60602
Applications Western Blot : 1:500-1:2000
Limitations This TLR5 antibody is available for research use only.
Review this product on BioCompare and get a $20 Amazon gift card

Related Products

  • Applications : WB, IHC, ELISA
    Reactivity : Human, Mouse
  • Applications : WB, IHC, ELISA
    Reactivity : Human, Mouse
  • Applications : WB, IHC-P, FACS
    Reactivity : Human
  • Applications : WB, Direct ELISA
    Reactivity : Mouse, Rat

Description

Participates in the innate immune response to microbial agents. Mediates detection of bacterial flagellins. Acts via MYD88 and TRAF6, leading to NF-kappa-B activation, cytokine secretion and the inflammatory response. [UniProt]

Application Notes

Optimal dilution of the TLR5 antibody should be determined by the researcher.

Immunogen

A synthetic peptide specific to human TLR5 was used as the immunogen for the TLR5 antibody.

Storage

Store the TLR5 antibody at -20oC.

Cross
Bulk Quote Request Form
Name*:
Organization*:
Email*:
Phone Number*:
Catalog No.*:
Comments and Specifics(amount, formulation, etc.)*:
Validation code: Captchapackage Image


Can't read the image? click here to refresh.
    *required field

Your bulk quote request has been submitted successfully!

Please contact us if you have any questions.