• Tel: 858.663.9055
  • SeparatorEmail: info@nsjbio.com
  • Tel: 858.663.9055
  • Email: info@nsjbio.com
Home >> Antibodies >> TLR2 Antibody

TLR2 Antibody [clone ADH-20] (RQ4761)

  Catalog No Formulation Size Price (USD)  
Image RQ4761 Antibody in PBS with 0.02% sodium azide, 50% glycerol and 0.4-0.5mg/ml BSA 100 ul 449
Microvalidated Rab Mono Image
Bulk quote request
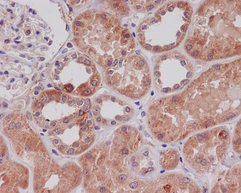
IHC staining of FFPE human kidney tissue with TLR2 antibody. HIER: boil tissue sections in pH6, 10mM citrate buffer, for 10-20 min and allow to cool before testing.
Western blot testing of human 1) A549 and 2) HeLa lysate with TLR2 antibody. Predicted molecular weight: 85-90 kDa.
Availability 1-2 weeks
Species Reactivity Human
Format Purified
Host Rabbit
Clonality Rabbit Monoclonal
Isotype Rabbit IgG
Clone Name ADH-20
Purity Affinity purified
UniProt O60603
Applications Western Blot : 1:1000-1:2000
Immunohistochemistry (FFPE) : 1:100-1:500
Limitations This TLR2 antibody is available for research use only.
Review this product on BioCompare and get a $20 Amazon gift card

Related Products

  • Applications : ELISA
    Reactivity : Human
    Recmousemono
  • Applications : ELISA
    Reactivity : Human
    Recrabbitmono
  • Applications : Functional studies
    Reactivity : Human
  • Applications : WB
    Reactivity : Human
  • Applications : WB, IHC, FACS, ELISA
    Reactivity : Human
    Pred. Reactivity : Primate
  • Applications : WB, IHC, ELISA
    Reactivity : Mouse
  • Applications : WB
    Reactivity : Human
  • Applications : WB, Direct ELISA
    Reactivity : Mouse

Description

Toll-like Receptor 2 is a member of the Toll-like receptor (TLR) family which plays a fundamental role in pathogen recognition and activation of innate immunity. TLRs are highly conserved from Drosophila to humans and share structural and functional similarities. This protein is a cell-surface protein that can form heterodimers with other TLR family members to recognize conserved molecules derived from microorganisms known as pathogen-associated molecular patterns (PAMPs). Activation of TLRs by PAMPs leads to an up-regulation of signaling pathways to modulate the host's inflammatory response. This gene is also thought to promote apoptosis in response to bacterial lipoproteins. This gene has been implicated in the pathogenesis of several autoimmune diseases. [RefSeq]

Application Notes

Optimal dilution of the TLR2 antibody should be determined by the researcher.

Immunogen

A synthetic peptide specific to human TLR2 was used as the immunogen for the TLR2 antibody.

Storage

Store the TLR2 antibody at -20oC.

Cross
Bulk Quote Request Form
Name*:
Organization*:
Email*:
Phone Number*:
Catalog No.*:
Comments and Specifics(amount, formulation, etc.)*:
Validation code: Captchapackage Image


Can't read the image? click here to refresh.
    *required field

Your bulk quote request has been submitted successfully!

Please contact us if you have any questions.