• Tel: 858.663.9055
  • SeparatorEmail: info@nsjbio.com
  • Tel: 858.663.9055
  • Email: info@nsjbio.com
Home >> Antibodies >> TLE1 Antibody Microarray Specificity Validated Clone TLE1/2085 / Transducin-like enhancer protein 1

TLE1 Antibody Microarray Specificity Validated Clone TLE1/2085 / Transducin-like enhancer protein 1 [clone TLE1/2085] (V3926)

  Catalog No Formulation Size Price (USD)  
Image V3926-100UG 0.2 mg/ml in 1X PBS with 0.1 mg/ml BSA (US sourced) and 0.05% sodium azide 100 ug 559
Image
V3926-20UG 0.2 mg/ml in 1X PBS with 0.1 mg/ml BSA (US sourced) and 0.05% sodium azide 20 ug 259
Image
V3926SAF-100UG 1 mg/ml in 1X PBS; BSA free, sodium azide free 100 ug 559
Microvalidated
Bulk quote request
TLE1 Antibody Microarray Specificity Validated Clone TLE1/2085 western blot analysis of Transducin-Like Enhancer Protein 1 / TLE1. Lane 1: human HeLa cell lysate. A band is detected at approximately 83 kDa, consistent with the predicted molecular weight of Transducin-Like Enhancer Protein 1 / TLE1. Clone TLE1/2085 is a Microarray Specificity Validated antibody, indicating antibody selectivity was evaluated using proteome-scale protein microarray screening to assess binding across thousands of individual proteins. The detected band corresponds to endogenous TLE1 protein expressed in human HeLa cells and is consistent with the nuclear transcriptional corepressor role of TLE1 within Groucho family transcriptional repression complexes.
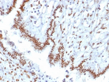
TLE1 Antibody Microarray Specificity Validated Clone TLE1/2085 immunohistochemistry analysis of human endometrial carcinoma. Formalin-fixed paraffin-embedded human endometrial carcinoma tissue shows strong nuclear staining in tumor epithelial cells consistent with expression of Transducin-Like Enhancer Protein 1, a nuclear transcriptional corepressor belonging to the Groucho/TLE family of transcriptional regulators. Clone TLE1/2085 is a Microarray Specificity Validated antibody, indicating antibody selectivity was assessed using proteome-scale protein microarray screening to evaluate binding across thousands of individual proteins and confirm preferential recognition of the intended target protein. Nuclear staining highlights malignant epithelial cells while surrounding stromal components show weaker or minimal signal. Heat-induced epitope retrieval was performed by boiling tissue sections in pH 9 Tris-EDTA buffer for 10-20 minutes followed by cooling at room temperature prior to antibody staining.
TLE1 Antibody Microarray Specificity Validated Clone TLE1/2085 protein microarray specificity analysis. Proteome-scale screening was performed using a HuProt human protein microarray containing more than 19,000 individually purified full-length human proteins. The TLE1 Antibody Microarray Specificity Validated Clone TLE1/2085 demonstrated highly selective binding to Transducin-Like Enhancer Protein 1, producing the strongest signal on the array with a Z-score of 130.01 and an S-score of 116.26, indicating strong enrichment for the intended target relative to all other proteins tested. Secondary signals detected for EFTUD2 and PARL were markedly lower, confirming the antibody's strong preferential recognition of TLE1. These results support the designation of clone TLE1/2085 as a Microarray Specificity Validated antibody, demonstrating proteome-wide selectivity through independent screening against thousands of human proteins to evaluate antibody specificity at a global scale.
Z-score represents the strength of the fluorescent signal generated when the antibody binds to a protein on the array, expressed as standard deviations above the mean signal intensity across the entire microarray. S-score represents the difference between sequential Z-scores after ranking targets by signal intensity, providing a quantitative measure of relative specificity for the intended antigen compared with other proteins present on the array.
SDS-PAGE analysis of purified, BSA-free TLE1 antibody (clone TLE1/2085) as confirmation of integrity and purity.
Availability 1-3 business days
Species Reactivity Human
Format Purified
Host Mouse
Clonality Monoclonal (mouse origin)
Isotype Mouse IgG2a, kappa
Clone Name TLE1/2085
Purity Protein G affinity chromatography
UniProt Q04724
Localization Nuclear
Applications Western Blot : 1-2ug/ml
Immunohistochemistry (FFPE) : 1-2ug/ml for 30 min at RT
Limitations This TLE1 antibody is available for research use only.
Review this product on BioCompare and get a $20 Amazon gift card

Related Products

Description

Transducin-Like Enhancer Protein 1 (TLE1) is a nuclear transcriptional corepressor encoded by the human TLE1 gene and is a member of the Groucho/TLE family of transcriptional regulatory proteins involved in developmental gene regulation. TLE1 Antibody Microarray Specificity Validated Clone TLE1/2085 is a monoclonal antibody designed for detection of Transducin-Like Enhancer Protein 1 and distinguished by proteome-scale microarray specificity validation. Microarray Specificity Validated Clone TLE1/2085 antibodies undergo high-stringency screening across large protein microarray platforms to confirm selective recognition of the intended target protein while assessing potential cross-reactivity with thousands of additional proteins.

TLE1 antibody, also referred to as Transducin-like enhancer protein 1 antibody in the literature, recognizes a transcriptional regulator that participates in transcriptional repression complexes controlling gene expression. Because transcriptional regulators often share conserved domains with related proteins, ensuring antibody specificity is essential when studying nuclear regulatory proteins. For this reason, Microarray Specificity Validated Clone TLE1/2085 antibodies are evaluated using large-scale specificity screening platforms designed to measure antibody binding across extensive proteome panels.

Microarray specificity validation enables direct evaluation of antibody selectivity in a proteome-scale environment. In this approach, thousands of purified recombinant proteins are immobilized on a microarray surface and probed with the antibody under controlled experimental conditions. Analysis of antibody binding signals across the array allows identification of the intended target protein while simultaneously detecting any off-target interactions. Through this screening process, Microarray Specificity Validated Clone TLE1/2085 antibodies can be assessed for highly selective binding to Transducin-Like Enhancer Protein 1 relative to other proteins represented on the microarray.

This specificity-focused validation strategy is particularly important for proteins such as TLE1 that belong to families of transcriptional regulators containing related structural motifs. Microarray Specificity Validated Clone TLE1/2085 antibodies therefore undergo proteome-wide specificity assessment designed to confirm strong target selectivity and minimal cross-reactivity within large protein collections. Such large-scale screening provides an additional level of confidence when studying transcriptional corepressors and other nuclear regulatory proteins.

Transducin-Like Enhancer Protein 1 participates in several developmental signaling pathways including Notch signaling and Wnt signaling where it functions as a transcriptional repression scaffold. As part of the Groucho/TLE transcriptional corepressor family, TLE1 forms multiprotein regulatory complexes that control transcription factor activity and chromatin organization. Accurate detection of TLE1 expression is therefore important for research studies investigating transcriptional repression mechanisms and developmental gene regulation.

A mouse monoclonal Microarray Specificity Validated Clone TLE1/2085 antibody targets Transducin-Like Enhancer Protein 1 and supports research applications investigating transcriptional repression complexes, gene regulatory pathways, and developmental signaling networks involving Groucho family transcriptional corepressors.

Application Notes

Optimal dilution of the TLE1 Antibody Microarray Specificity Validated Clone TLE1/2085 should be determined by the researcher.

Immunogen

A portion of amino acids 175-338 from the human protein was used as the immunogen for the TLE1 antibody.

Storage

Store the TLE1 antibody at 2-8oC (with azide) or aliquot and store at -20oC or colder (without azide).

Alternate Names

TLE1 antibody, Transducin-like enhancer protein 1 antibody, Microarray specificity validated TLE1 antibody, Proteome microarray validated TLE1 antibody, Transducin-like enhancer of split 1 antibody, Groucho-related protein TLE1 antibody

Cross
Bulk Quote Request Form
Name*:
Organization*:
Email*:
Phone Number*:
Catalog No.*:
Comments and Specifics(amount, formulation, etc.)*:
Validation code: Captchapackage Image


Can't read the image? click here to refresh.
    *required field

Your bulk quote request has been submitted successfully!

Please contact us if you have any questions.