• Tel: 858.663.9055
  • SeparatorEmail: info@nsjbio.com
  • Tel: 858.663.9055
  • Email: info@nsjbio.com
Home >> Antibodies >> TLE1 Antibody Protein Microarray Validated Clone TLE1/2062 / Transducin-like enhancer protein 1

TLE1 Antibody Protein Microarray Validated Clone TLE1/2062 / Transducin-like enhancer protein 1 [clone TLE1/2062] (V3925)

  Catalog No Formulation Size Price (USD)  
Image V3925-100UG 0.2 mg/ml in 1X PBS with 0.1 mg/ml BSA (US sourced) and 0.05% sodium azide 100 ug 559
Image
V3925-20UG 0.2 mg/ml in 1X PBS with 0.1 mg/ml BSA (US sourced) and 0.05% sodium azide 20 ug 259
Image
V3925SAF-100UG 1 mg/ml in 1X PBS; BSA free, sodium azide free 100 ug 559
Microvalidated
Bulk quote request
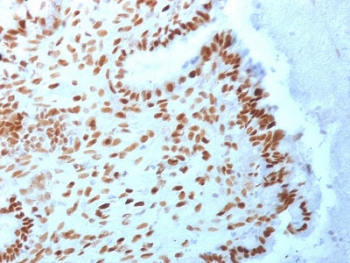
TLE1 Antibody Protein Microarray Validated Clone TLE1/2062 immunohistochemistry analysis of human gastrointestinal stromal tumor (GIST). Formalin-fixed paraffin-embedded human GIST tissue shows nuclear staining in tumor cells consistent with expression of Transducin-Like Enhancer Protein 1, a nuclear transcriptional corepressor belonging to the Groucho/TLE family of transcriptional regulators. Clone TLE1/2062 is a protein microarray validated antibody, indicating specificity assessment using large-scale protein microarray screening to evaluate antibody binding across extensive protein panels. Nuclear staining highlights tumor cells within the gastrointestinal stromal tumor while surrounding stromal elements show weaker or absent signal. Heat-induced epitope retrieval was performed by boiling tissue sections in pH 9 Tris-EDTA buffer for 10-20 minutes followed by cooling at room temperature prior to antibody staining.
TLE1 Antibody Protein Microarray Validated Clone TLE1/2062 immunohistochemistry analysis of human endometrial carcinoma. Formalin-fixed paraffin-embedded human endometrial carcinoma tissue shows strong nuclear staining in tumor cells consistent with expression of Transducin-Like Enhancer Protein 1, a nuclear transcriptional corepressor belonging to the Groucho/TLE family of transcriptional regulators. Clone TLE1/2062 is a Protein Microarray Validated antibody, indicating antibody specificity was evaluated using large-scale protein microarray screening across extensive protein panels. Nuclear staining highlights malignant epithelial cells while surrounding stromal components show weaker or minimal signal. Heat-induced epitope retrieval was performed by boiling tissue sections in pH 9 Tris-EDTA buffer for 10-20 minutes followed by cooling at room temperature prior to antibody staining.
TLE1 Antibody Protein Microarray Validated Clone TLE1/2062 western blot analysis of Transducin-Like Enhancer Protein 1 / TLE1. Lane 1: human HeLa cell lysate. A band is detected at approximately 83 kDa, consistent with the predicted molecular weight of Transducin-Like Enhancer Protein 1 / TLE1. Clone TLE1/2062 is a Protein Microarray Validated antibody, indicating specificity was evaluated using large-scale protein microarray screening across extensive protein panels to assess selective recognition of the intended target protein. The detected band corresponds to endogenous TLE1 protein expressed in human HeLa cells, consistent with the nuclear transcriptional corepressor role of TLE1 within Groucho family transcriptional repression complexes.
TLE1 Antibody Protein Microarray Validated Clone TLE1/2062 specificity analysis using HuProt human protein microarray. A comprehensive human protein microarray containing more than 19,000 full-length human proteins was probed with TLE1 Antibody Protein Microarray Validated Clone TLE1/2062 to evaluate antibody specificity across a large proteome-scale panel. The results demonstrate strong and selective binding of the antibody to Transducin-Like Enhancer Protein 1 (TLE1), with TLE1 producing the highest signal intensity among all proteins present on the array. This microarray validation confirms that Clone TLE1/2062 shows preferential recognition of the intended target protein compared with other proteins screened in the assay.
The Z-score represents the strength of signal generated when the antibody binds to a specific protein on the HuProt microarray and is expressed in units of standard deviations above the mean signal across the array. Proteins are ranked according to Z-score values, with higher scores indicating stronger antibody binding. The S-score represents the difference between the Z-scores of sequentially ranked proteins and reflects the relative specificity of the antibody for its intended target. A large S-score between the top-ranked protein and the next highest signal indicates strong target specificity. In this analysis, Transducin-Like Enhancer Protein 1 produced the highest Z-score and a strong S-score separation from other proteins, demonstrating the high specificity of TLE1 Antibody Protein Microarray Validated Clone TLE1/2062 in proteome-scale screening.
SDS-PAGE analysis of purified, BSA-free TLE1 antibody (clone TLE1/2062) as confirmation of integrity and purity.
Availability 1-3 business days
Species Reactivity Human
Format Purified
Host Mouse
Clonality Monoclonal (mouse origin)
Isotype Mouse IgG2a, kappa
Clone Name TLE1/2062
Purity Protein G affinity chromatography
UniProt Q04724
Localization Nuclear
Applications Western Blot : 1-2ug/ml
Immunohistochemistry (FFPE) : 1-2ug/ml for 30 min at RT
Limitations This TLE1 antibody is available for research use only.
Review this product on BioCompare and get a $20 Amazon gift card

Related Products

Description

Transducin-Like Enhancer Protein 1 (TLE1) is a nuclear transcriptional corepressor encoded by the human TLE1 gene and is a member of the Groucho family of transcriptional regulatory proteins involved in developmental gene regulation. TLE1 Antibody Protein Microarray Validated Clone TLE1/2062 is a monoclonal antibody developed for selective detection of Transducin-Like Enhancer Protein 1 and distinguished by large-scale antibody specificity testing using protein microarray technology. Protein Microarray Validated Clone TLE1/2062 antibodies undergo high-throughput screening against extensive protein panels in order to confirm selective recognition of the intended target protein.

TLE1 antibody, also referred to as Transducin-like enhancer protein 1 antibody in the literature, recognizes a transcriptional regulator that functions as a transcriptional corepressor within chromatin-associated regulatory complexes. Because transcriptional regulators frequently share structural motifs with related proteins, antibody specificity is critical when studying transcriptional repression pathways. For this reason, Protein Microarray Validated Clone TLE1/2062 antibodies are evaluated using large-scale protein microarray validation platforms designed to measure antibody binding across thousands of individual proteins simultaneously.

Protein microarray validation provides a powerful approach for assessing antibody selectivity in a comprehensive screening environment. In this validation method, thousands of purified recombinant proteins are immobilized on a microarray surface and probed with the antibody under defined experimental conditions. Detection of binding signals across the microarray allows researchers to confirm recognition of the intended target protein while identifying potential off-target binding events. Through this process, Protein Microarray Validated Clone TLE1/2062 antibodies can be assessed for highly selective recognition of Transducin-Like Enhancer Protein 1 relative to other proteins present on the microarray platform.

Because transcriptional corepressors such as TLE1 belong to protein families with related structural domains, validation using large-scale protein microarray screening is particularly valuable for confirming antibody specificity. Protein Microarray Validated Clone TLE1/2062 antibodies therefore benefit from microarray-based validation strategies designed to evaluate antibody binding across extensive protein collections in a single experiment. This approach provides an additional level of confidence when studying transcriptional regulatory proteins that function within complex signaling networks.

Transducin-Like Enhancer Protein 1 participates in multiple developmental signaling pathways including Notch signaling and Wnt signaling where it functions as a transcriptional repression scaffold. As a member of the Groucho/TLE transcriptional corepressor family, TLE1 forms multiprotein complexes that regulate transcription factor activity and chromatin structure. Accurate detection of TLE1 expression is therefore important for research studies investigating transcriptional repression mechanisms and developmental gene regulatory networks.

A mouse monoclonal Protein Microarray Validated Clone TLE1/2062 antibody targets Transducin-Like Enhancer Protein 1 and enables detection of TLE1 protein in research applications investigating transcriptional repression complexes, developmental signaling pathways, and gene regulatory mechanisms involving Groucho family transcriptional corepressors.

Application Notes

Optimal dilution of the TLE1 antibody should be determined by the researcher.

Immunogen

A portion of amino acids 175-338 from the human protein was used as the immunogen for the TLE1 antibody.

Storage

Store the TLE1 antibody at 2-8oC (with azide) or aliquot and store at -20oC or colder (without azide).

Alternate Names

TLE1 antibody, Transducin-like enhancer protein 1 antibody, Protein microarray validated TLE1 antibody, Transducin-like enhancer of split 1 antibody, Groucho-related protein TLE1 antibody, Groucho homolog TLE1 antibody

Cross
Bulk Quote Request Form
Name*:
Organization*:
Email*:
Phone Number*:
Catalog No.*:
Comments and Specifics(amount, formulation, etc.)*:
Validation code: Captchapackage Image


Can't read the image? click here to refresh.
    *required field

Your bulk quote request has been submitted successfully!

Please contact us if you have any questions.