• Tel: 858.663.9055
  • SeparatorEmail: info@nsjbio.com
  • Tel: 858.663.9055
  • Email: info@nsjbio.com
Home >> Antibodies >> TJP1 Antibody / ZO-1

TJP1 Antibody / ZO-1 [clone 3E12.] (RQ5546)

  Catalog No Formulation Size Price (USD)  
Image RQ5546 0.5mg/ml if reconstituted with 0.2ml sterile DI water 100 ug 449
Bulk quote request
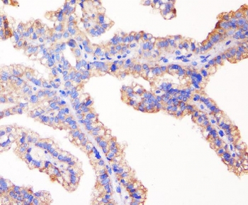
IHC staining of FFPE human kidney cancer with TJP1 antibody. HIER: boil tissue sections in pH6, 10mM citrate buffer, for 20 min and allow to cool before testing.
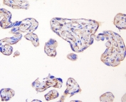
IHC staining of FFPE human placenta with TJP1 antibody. HIER: boil tissue sections in pH6, 10mM citrate buffer, for 20 min and allow to cool before testing.
Flow cytometry testing of human HeLa cells with TJP1 antibody at 1ug/million cells (blocked with goat sera); Red=cells alone, Green=isotype control, Blue= TJP1 antibody.
Immunofluorescent staining of FFPE human MCF7 cells with TJP1 antibody (green) and DAPI nuclear stain (blue).
Western blot testing of human 1) Caco-2, 2) U-2 OS, 3) K562, 4) PC-3 and 5) T-47D lysate with TJP1 antibody. Predicted molecular weight ~187 kDa.
Availability 1-3 business days
Species Reactivity Human
Format Antigen affinity purified
Host Mouse
Clonality Monoclonal (mouse origin)
Isotype Mouse IgG1
Clone Name 3E12.
Purity Affinity purified
Buffer Lyophilized from 1X PBS with 2% Trehalose and 0.025% sodium azide
UniProt Q07157
Applications Western Blot : 0.5-1ug/ml
Immunohistochemistry (FFPE) : 1-2ug/ml
Flow Cytometry : 1-3ug/million cells
Immunofluorescence : 2-4ug/ml
Limitations This TJP1 antibody is available for research use only.
Review this product on BioCompare and get a $20 Amazon gift card

Related Products

  • Applications : WB, IHC-P, IF, FACS
    Reactivity : Human, Mouse, Rat
  • Applications : WB, ELISA
    Reactivity : Human
  • Applications : FACS, WB, IHC, ELISA
    Reactivity : Human
  • Applications : IF, ELISA (peptide)
    Reactivity : Human

Description

Tight junction protein ZO-1 is a protein that in humans is encoded by the TJP1 gene. It is mapped to 15q13.1. This gene encodes a protein located on a cytoplasmic membrane surface of intercellular tight junctions. The encoded protein may be involved in signal transduction at cell-cell junctions. It has been found that injected CagA associates with the epithelial tight-junction scaffolding protein TJP1 and the transmembrane protein junctional adhesion molecule, causing an ectopic assembly of tight junction components at sites of bacterial attachment, and altering the composition and function of the apical-junctional complex.

Application Notes

Optimal dilution of the TJP1 antibody should be determined by the researcher.

Immunogen

A human recombinant protein (amino acids H1178-F1527) was used as the immunogen for the TJP1 antibody.

Storage

After reconstitution, the TJP1 antibody can be stored for up to one month at 4oC. For long-term, aliquot and store at -20oC. Avoid repeated freezing and thawing.

Cross
Bulk Quote Request Form
Name*:
Organization*:
Email*:
Phone Number*:
Catalog No.*:
Comments and Specifics(amount, formulation, etc.)*:
Validation code: Captchapackage Image


Can't read the image? click here to refresh.
    *required field

Your bulk quote request has been submitted successfully!

Please contact us if you have any questions.