• Tel: 858.663.9055
  • SeparatorEmail: info@nsjbio.com
  • Tel: 858.663.9055
  • Email: info@nsjbio.com
Home >> Antibodies >> TIMP-1 Antibody

TIMP-1 Antibody (F54350)

  Catalog No Formulation Size Price (USD)  
Image F54350-0.4ML In 1X PBS, pH 7.4, with 0.09% sodium azide 0.4 ml 429
Image
F54350-0.08ML In 1X PBS, pH 7.4, with 0.09% sodium azide 0.08 ml 199
Bulk quote request
Immunofluorescent staining of fixed and permeabilized human A2058 cells with TIMP-1 antibody (green) and anti-Actin (red).
Immunofluorescent staining of fixed and permeabilized human A2058 cells with TIMP-1 antibody (green) and DAPI nuclear stain (blue).
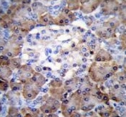
IHC testing of FFPE human pancreas tissue with TIMP-1 antibody. HIER: steam section in pH6 citrate buffer for 20 min and allow to cool prior to staining.
Western blot testing of human CCRF-CEM cell lysate with TIMP-1 antibody. Expected molecular weight: 23-28 kDa depending on the level of glycosylation.
Flow cytometry testing of fixed and permeabilized human A2058 cells with TIMP-1 antibody; Blue=isotype control, Green= TIMP-1 antibody.
Availability 1-3 business days
Species Reactivity Human
Format Purified
Clonality Polyclonal (rabbit origin)
Isotype Rabbit Ig
Purity SAS precipitation
UniProt P01033
Applications Flow Cytometry : 1:25 (1x10e6 cells)
Immunofluorescence : 1:25
Western Blot : 1:500-1:2000
Immunohistochemistry (FFPE) : 1:25
Limitations This TIMP-1 antibody is available for research use only.
Review this product on BioCompare and get a $20 Amazon gift card

Related Products

  • Applications : ELISA
    Reactivity : Human
    Recmousemono
  • Applications : ELISA
    Reactivity : Human
    Recrabbitmono
  • Applications : ELISA, IHC-P
    Reactivity : Human
    Microvalidated
  • Applications : WB
    Reactivity : Human
    Rab Mono Image
  • Applications : WB
    Reactivity : Human
    Rab Mono Image
  • Applications : ELISA
    Reactivity : Human
  • Applications : ELISA, IHC-P
    Reactivity : Human
  • Applications : WB, IHC-P
    Reactivity : Human
  • Applications : WB, ELISA (peptide)
    Reactivity : Human
    Pred. Reactivity : Dog
  • Applications : WB, Direct ELISA
    Reactivity : Human, Mouse, Rat
  • Applications : WB, Direct ELISA
    Reactivity : Human, Mouse, Rat
  • Applications : IF, FACS, IHC-P, WB
    Reactivity : Human
  • Applications : WB, FACS, Direct ELISA
    Reactivity : Mouse, Rat

Description

This gene belongs to the TIMP gene family. The proteins encoded by this gene family are natural inhibitors of the matrix metalloproteinases (MMPs), a group of peptidases involved in degradation of the extracellular matrix. In addition to its inhibitory role against most of the known MMPs, the encoded protein is able to promote cell proliferation in a wide range of cell types, and may also have an anti-apoptotic function. Transcription of this gene is highly inducible in response to many cytokines and hormones. In addition, the expression from some but not all inactive X chromosomes suggests that this gene inactivation is polymorphic in human females. This gene is located within intron 6 of the synapsin I gene and is transcribed in the opposite direction.

Application Notes

The stated application concentrations are suggested starting points. Titration of the TIMP-1 antibody may be required due to differences in protocols and secondary/substrate sensitivity.

Immunogen

A portion of amino acids 157-188 from the human protein was used as the immunogen for the TIMP-1 antibody.

Storage

Aliquot the TIMP-1 antibody and store frozen at -20oC or colder. Avoid repeated freeze-thaw cycles.

Cross
Bulk Quote Request Form
Name*:
Organization*:
Email*:
Phone Number*:
Catalog No.*:
Comments and Specifics(amount, formulation, etc.)*:
Validation code: Captchapackage Image


Can't read the image? click here to refresh.
    *required field

Your bulk quote request has been submitted successfully!

Please contact us if you have any questions.