• Tel: 858.663.9055
  • SeparatorEmail: info@nsjbio.com
  • Tel: 858.663.9055
  • Email: info@nsjbio.com
Home >> Antibodies >> TIM-3 Antibody / HAVCR2

TIM-3 Antibody / HAVCR2 [clone RM448] (R20463)

  Catalog No Formulation Size Price (USD)  
Image R20463-0.1ML Antibody in PBS with 50% glycerol, 1% BSA and 0.09% sodium azide 100 ul 439
Microvalidated Recrabbitmono
Bulk quote request
Western blot testing of human Daudi cell lysate with recombinant TIM-3 antibody at 1:1000. Expected molecular weight: 33-70 kDa depending on glycosylation level.
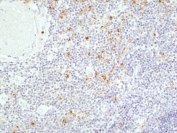
IHC staining of FFPE human thymus tissue with recombinant TIM-3 antibody at 1:200.
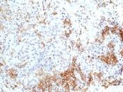
IHC staining of FFPE human lung cancer tissue with recombinant TIM-3 antibody at 1:200.
Availability 1-3 business days
Species Reactivity Human
Format Purified
Host Rabbit
Clonality Recombinant Rabbit Monoclonal
Isotype Rabbit IgG
Clone Name RM448
Purity Protein A purified from animal origin-free supernatant
UniProt Q8TDQ0
Localization Cell surface, cytoplasmic
Applications Immunohistochemistry (FFPE) : 1:50-1:100
Western Blot : 1:500-1:1000
Limitations This recombinant TIM-3 antibody is available for research use only.
Review this product on BioCompare and get a $20 Amazon gift card

Related Products

Description

This antibody reacts to human TIM3 / T-cell immunoglobulin and mucin domain-containing protein 3 / HAVCR2 / Hepatitis A virus cellular receptor 2.

Application Notes

The stated application concentrations are suggested starting points. Titration of the recombinant TIM-3 antibody may be required due to differences in protocols and secondary/substrate sensitivity.

Immunogen

Recombinant human TIM3/HAVCR2 protein was used as the immunogen for the recombinant TIM-3 antibody.

Storage

Store the recombinant TIM-3 antibody at -20oC.

Cross
Bulk Quote Request Form
Name*:
Organization*:
Email*:
Phone Number*:
Catalog No.*:
Comments and Specifics(amount, formulation, etc.)*:
Validation code: Captchapackage Image


Can't read the image? click here to refresh.
    *required field

Your bulk quote request has been submitted successfully!

Please contact us if you have any questions.