• Tel: 858.663.9055
  • SeparatorEmail: info@nsjbio.com
  • Tel: 858.663.9055
  • Email: info@nsjbio.com
Home >> Antibodies >> Thyroid transcription factor 1 Antibody / TTF-1 / NX2.1

Thyroid transcription factor 1 Antibody / TTF-1 / NX2.1 [clone NX2.1/9036] (V5552)

  Catalog No Formulation Size Price (USD)  
Image V5552-100UG 0.2 mg/ml in 1X PBS with 0.1 mg/ml BSA (US sourced), 0.05% sodium azide 100 ug 559
Image
V5552-20UG 0.2 mg/ml in 1X PBS with 0.1 mg/ml BSA (US sourced), 0.05% sodium azide 20 ug 259
Image
V5552SAF-100UG 1 mg/ml in 1X PBS; BSA free, sodium azide free 100 ug 559
Bulk quote request
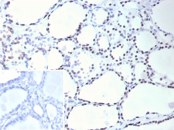
Immunohistochemistry of Thyroid transcription factor 1 antibody in human thyroid tissue. FFPE human thyroid tissue stained using Thyroid transcription factor 1 antibody. The mouse monoclonal clone NX2.1/9036 antibody demonstrates strong nuclear staining in thyroid follicular epithelial cells lining thyroid follicles, consistent with the nuclear localization of Thyroid transcription factor 1 (NKX2-1). Nuclear immunoreactivity highlights thyroid follicular epithelial lineage and reflects the established role of NKX2-1 as a transcription factor regulating thyroid epithelial differentiation and thyroid hormone gene expression. Inset: PBS used in place of primary antibody (secondary antibody negative control). HIER: boil tissue sections in pH9 10mM Tris with 1mM EDTA for 20 min and allow to cool before testing.
SDS-PAGE analysis of purified, BSA-free Thyroid transcription factor 1 antibody (clone NX2.1/9036) as confirmation of integrity and purity.
Availability 1-3 business days
Species Reactivity Human
Format Purified
Host Mouse
Clonality Monoclonal (mouse origin)
Isotype Mouse IgG2b, kappa
Clone Name NX2.1/9036
Purity Protein A/G affinity
UniProt P43699
Localization Nucleus
Applications Immunohistochemistry (FFPE) : 1-2ug/ml
Limitations This Thyroid transcription factor 1 antibody is available for research use only.
Review this product on BioCompare and get a $20 Amazon gift card

Related Products

Description

Thyroid transcription factor 1 (NKX2-1) is a nuclear homeobox transcription factor that regulates epithelial lineage development in the lung, thyroid gland, and forebrain. The protein functions as a DNA-binding transcriptional regulator that controls expression of genes required for epithelial differentiation and organ development. The Thyroid transcription factor 1 Antibody recognizes this lineage-associated transcription factor, which localizes to the nuclei of epithelial cells in respiratory epithelium and thyroid follicular epithelium.

Thyroid transcription factor 1 antibody, also referred to as NKX2-1 antibody or TTF-1 antibody in the literature, detects a nuclear transcription factor that plays a central role in regulating tissue-specific gene expression. NKX2-1 contains a conserved homeobox DNA-binding domain that allows the protein to interact with regulatory regions of target genes and control transcriptional programs involved in epithelial lineage specification and differentiation.

In lung tissue, NKX2-1 regulates genes associated with respiratory epithelial identity and pulmonary epithelial differentiation. The transcription factor controls expression of several lung-specific genes including surfactant proteins that are produced by alveolar epithelial cells. Through these regulatory activities, NKX2-1 contributes to pulmonary epithelial development and maintenance of respiratory epithelial function.

In the thyroid gland, NKX2-1 functions as an important regulator of thyroid follicular epithelial cell differentiation and thyroid hormone biosynthesis. The transcription factor activates thyroid-specific genes including thyroglobulin and thyroid peroxidase that are essential for thyroid hormone production. These transcriptional regulatory functions establish NKX2-1 as a key factor in maintaining the differentiated phenotype of thyroid follicular epithelial cells.

Because NKX2-1 functions as a nuclear transcription factor controlling epithelial gene expression, it remains widely studied in research focused on epithelial lineage determination, developmental biology, and transcriptional regulation. A Thyroid transcription factor 1 antibody such as clone NX2.1/9036 provides a useful tool for studies investigating transcription factor localization, epithelial differentiation, and gene regulatory pathways associated with lung and thyroid epithelial tissues.

Application Notes

Optimal dilution of the Thyroid transcription factor 1 antibody should be determined by the researcher.

Immunogen

A recombinant fragment (within amino acids 1-200) of human TTF-1 protein was used as the immunogen for the Thyroid transcription factor 1 antibody.

Storage

Aliquot the Thyroid transcription factor 1 antibody and store frozen at -20oC or colder. Avoid repeated freeze-thaw cycles.

Alternate Names

NKX2-1 antibody, TTF-1 antibody, TTF1 antibody, TITF1 antibody, Thyroid transcription factor antibody

Cross
Bulk Quote Request Form
Name*:
Organization*:
Email*:
Phone Number*:
Catalog No.*:
Comments and Specifics(amount, formulation, etc.)*:
Validation code: Captchapackage Image


Can't read the image? click here to refresh.
    *required field

Your bulk quote request has been submitted successfully!

Please contact us if you have any questions.