• Tel: 858.663.9055
  • SeparatorEmail: info@nsjbio.com
  • Tel: 858.663.9055
  • Email: info@nsjbio.com
Home >> Antibodies >> TCP1 Antibody

TCP1 Antibody (R36111)

  Catalog No Formulation Size Price (USD)  
Image R36111-100UG 0.5 mg/ml in 1X TBS, pH7.3, with 0.5% BSA (US sourced) and 0.02% sodium azide 100 ug 475
Bulk quote request
Western blot testing of human lung lysate with TCP1 antibody at 1ug/ml. Predicted/observed molecular weight: ~60 kDa.
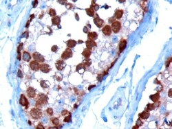
IHC staining of FFPE human testis with TCP1 antibody at 10ug/ml. HIER: microwaved with pH9 Tris/EDTA buffer, HRP-staining.
Availability 1-3 business days
Species Reactivity Human
Format Antigen affinity purified
Host Goat
Clonality Polyclonal (goat origin)
Isotype Goat Ig
Purity Antigen affinity
Gene ID 6950
Localization Cytoplasmic, membranous
Applications Western Blot : 0.5-2ug/ml
Immunohistochemistry (FFPE) : 1-2ug/ml
ELISA (peptide) LOD : 1:32000
Limitations This TCP1 antibody is available for research use only.
Review this product on BioCompare and get a $20 Amazon gift card

Related Products

Description

Additional name(s) for this target protein: T-complex protein 1

Application Notes

Optimal dilution of the TCP1 antibody should be determined by the researcher.

Immunogen

Amino acids SYEDAVHSGALND were used as the immunogen for this TCP1 antibody.

Storage

Aliquot and store the TCP1 antibody at -20oC.

Cross
Bulk Quote Request Form
Name*:
Organization*:
Email*:
Phone Number*:
Catalog No.*:
Comments and Specifics(amount, formulation, etc.)*:
Validation code: Captchapackage Image


Can't read the image? click here to refresh.
    *required field

Your bulk quote request has been submitted successfully!

Please contact us if you have any questions.