• Tel: 858.663.9055
  • SeparatorEmail: info@nsjbio.com
  • Tel: 858.663.9055
  • Email: info@nsjbio.com
Home >> Antibodies >> SYVN1 Antibody (HRD1)

SYVN1 Antibody (HRD1) (F40119)

  Catalog No Formulation Size Price (USD)  
Image F40119-0.4ML In 1X PBS, pH 7.4, with 0.09% sodium azide 0.4 ml 439
Image
F40119-0.08ML In 1X PBS, pH 7.4, with 0.09% sodium azide 0.08 ml 205
Bulk quote request
Fluorescent confocal image of HeLa cells stained with SYVN1 antibody. Primary Ab (1:200, 2 h at room temperature); Alexa Fluor 488 conjugated donkey anti-rabbit Ab (green) was used as secondary (1:1000, 1h). Nuclei were counterstained with Hoechst 33342 (blue) (10 ug/ml, 5 min).
Western blot testing of SYVN1 antibody and transiently transfected Neuro2A cells. Predicted molecular weight: ~68kDa.
Western blot analysis of SYVN1 antibody in T47D lysate. Predicted molecular weight: ~68kDa.
Western blot analysis of SYVN1 mouse kidney tissue lysate. Predicted molecular weight: ~68kDa.
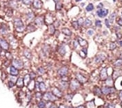
IHC analysis of FFPE human breast carcinoma tissue stained with the SYVN1 antibody
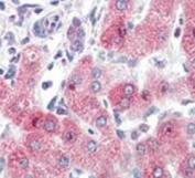
IHC analysis of FFPE human liver tissue stained with SYVN1 antibody
Availability 1-3 business days
Species Reactivity Human, Mouse
Format Purified
Host Rabbit
Clonality Polyclonal (rabbit origin)
Isotype Rabbit Ig
Purity Purified
UniProt Q86TM6
Applications Western Blot : 1:200-1000
IHC (Paraffin) : 1:50-1:100
Limitations This SYVN1 antibody is available for research use only.
Review this product on BioCompare and get a $20 Amazon gift card

Related Products

  • Applications : WB, ICC, IF, IP, FACS
    Reactivity : Human, Mouse, Rat
    Recrabbitmono
  • Applications : WB, ELISA
    Reactivity : Human
    Pred. Reactivity : Mouse, Xenopus
  • Applications : WB, ELISA (peptide)
    Reactivity : Human
    Pred. Reactivity : Dog, Rat
  • Applications : IHC, ELISA (peptide)
    Reactivity : Human
    Pred. Reactivity : Rat
  • Applications : WB, ICC/IF, IP, FACS
    Reactivity : Human, Mouse, Rat

Description

HRD1/SYVN1 is a ubiquitin ligase whose expression is induced by the unfolded protein response (UPR) following endoplasmic reticulum stress. Expression of SYVN1 protects cells from apoptosis by inducing degradation of abnormally processed proteins that accumulate in the endoplasmic reticulum. It is expressed in many tissues, strongly expressed in brain, pancreas, liver, kidney and skeletal muscle. Amano T, et al. reported that Synoviolin/Hrd1 (expressed in rheumatoid synovium) is a novel causative factor for arthropathy by triggering synovial cell outgrowth through its antiapoptotic effects.

Application Notes

Titration of the SYVN1 antibody may be required due to differences in protocols and secondary/substrate sensitivity.

Immunogen

A portion of amino acids 586-617 from the human protein was used as the immunogen for this SYVN1 antibody.

Storage

Aliquot the SYVN1 antibody and store frozen at -20oC or colder. Avoid repeated freeze-thaw cycles.

Cross
Bulk Quote Request Form
Name*:
Organization*:
Email*:
Phone Number*:
Catalog No.*:
Comments and Specifics(amount, formulation, etc.)*:
Validation code: Captchapackage Image


Can't read the image? click here to refresh.
    *required field

Your bulk quote request has been submitted successfully!

Please contact us if you have any questions.