• Tel: 858.663.9055
  • SeparatorEmail: info@nsjbio.com
  • Tel: 858.663.9055
  • Email: info@nsjbio.com
Home >> Antibodies >> Suprabasin Antibody / SBSN

Suprabasin Antibody / SBSN [clone SBSN/7965] (V4618)

  Catalog No Formulation Size Price (USD)  
Image V4618-100UG 0.2 mg/ml in 1X PBS with 0.1 mg/ml BSA (US sourced), 0.05% sodium azide 100 ug 559
Image
V4618-20UG 0.2 mg/ml in 1X PBS with 0.1 mg/ml BSA (US sourced), 0.05% sodium azide 20 ug 259
Image
V4618SAF-100UG 1 mg/ml in 1X PBS; BSA free, sodium azide free 100 ug 559
Bulk quote request
IHC staining of FFPE human skin tissue with Suprabasin antibody (clone SBSN/7965). HIER: boil tissue sections in pH 9 10mM Tris with 1mM EDTA for 20 min and allow to cool before testing.
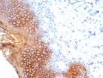
IHC staining of FFPE human esophagus tissue with Suprabasin antibody (clone SBSN/7965). HIER: boil tissue sections in pH 9 10mM Tris with 1mM EDTA for 20 min and allow to cool before testing.
SDS-PAGE analysis of purified, BSA-free Suprabasin antibody (clone SBSN/7965) as confirmation of integrity and purity.
Availability 1-3 business days
Species Reactivity Human
Format Purified
Host Mouse
Clonality Monoclonal (mouse origin)
Isotype Mouse IgG1, kappa
Clone Name SBSN/7965
Purity Protein A/G affinity
UniProt Q6UWP8
Localization Cytoplasm, Secreted
Applications Immunohistochemistry (FFPE) : 1-2ug/ml for 30 min at RT
Limitations This Suprabasin antibody is available for research use only.
Review this product on BioCompare and get a $20 Amazon gift card

Related Products

Description

Suprabasin (SBSN) is a 247 amino acid secreted protein that is upregulated in differentiating keratinocytes and is though to play a role in epidermal differentiation.

Application Notes

Optimal dilution of the Suprabasin antibody should be determined by the researcher.

Immunogen

A recombinant fragment of the human protein was used as the immunogen for the Suprabasin antibody.

Storage

Aliquot the Suprabasin antibody and store frozen at -20oC or colder. Avoid repeated freeze-thaw cycles.

Cross
Bulk Quote Request Form
Name*:
Organization*:
Email*:
Phone Number*:
Catalog No.*:
Comments and Specifics(amount, formulation, etc.)*:
Validation code: Captchapackage Image


Can't read the image? click here to refresh.
    *required field

Your bulk quote request has been submitted successfully!

Please contact us if you have any questions.