• Tel: 858.663.9055
  • SeparatorEmail: info@nsjbio.com
  • Tel: 858.663.9055
  • Email: info@nsjbio.com
Home >> Antibodies >> STUB1 Antibody

STUB1 Antibody (F40135)

  Catalog No Formulation Size Price (USD)  
Image F40135-0.4ML In 1X PBS, pH 7.4, with 0.09% sodium azide 0.4 ml 439
Image
F40135-0.08ML In 1X PBS, pH 7.4, with 0.09% sodium azide 0.08 ml 205
Bulk quote request
CHIP / STUB1 antibody western blot analysis in MCF7 lysate. Predicted molecular weight ~35 kDa.
STUB1 antibody western blot analysis in 1) 293 cell line and 2) human placenta lysate. Predicted molecular weight ~35 kDa.
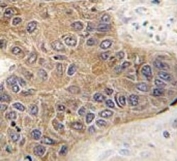
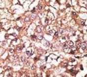
IHC analysis of FFPE human hepatocarcinoma tissue stained with STUB1 antibody
IHC analysis of FFPE human hepatocarcinoma stained with the STUB1 antibody
Availability 1-3 business days
Species Reactivity Human
Predicted Reactivity Chicken, Mouse
Format Antigen affinity purified
Host Rabbit
Clonality Polyclonal (rabbit origin)
Isotype Rabbit Ig
Purity Antigen affinity
UniProt Q9UNE7
Localization Cytoplasmic
Applications Western Blot : 1:1000
IHC (Paraffin) : 1:50-1:100
Limitations This STUB1 antibody is available for research use only.
Review this product on BioCompare and get a $20 Amazon gift card

Related Products

  • Applications : WB
    Reactivity : Human, Mouse
  • Applications : WB, ELISA (peptide)
    Reactivity : Human
    Pred. Reactivity : Cow, Dog, Mouse, Rat
  • Applications : WB, IHC-P, IF, FACS, ELISA
    Reactivity : Human, Mouse, Rat

Description

CHIP is an E3 ligase for nNOS whose action is facilitated by (and possibly requires) its interaction with nNOS-bound hsp70. Co-chaperone CHIP, possibly with another E3 ligase(s), modulates the ubiquitylation of mutant Cu/Zn-superoxide dismutase and renders them more susceptible for proteasomal degradation. CHIP functions as a negative regulator of AR transcriptional activity by promoting AR degradation. CHIP-Hsc70 complex ubiquitinates phosphorylated tau and enhances cell survival. CHIP can interact with the Smad1/Smad4 proteins and block BMP signal transduction through the ubiquitin-mediated degradation of Smad proteins. CHIP E3 controls both the association of Hsp70/Hsp90 chaperones with ErbB2 and the down-regulation of ErbB2 induced by inhibitors of Hsp90. CHIP is associated with Parkin and enhances its ubiquitin ligase activity related to Parkinson's disease.

Application Notes

Titration of the STUB1 antibody may be required due to differences in protocols and secondary/substrate sensitivity.

Immunogen

A portion of amino acids 203-231 from the human protein was used as the immunogen for this STUB1 antibody.

Storage

Aliquot the STUB1 antibody and store frozen at -20oC or colder. Avoid repeated freeze-thaw cycles.

Cross
Bulk Quote Request Form
Name*:
Organization*:
Email*:
Phone Number*:
Catalog No.*:
Comments and Specifics(amount, formulation, etc.)*:
Validation code: Captchapackage Image


Can't read the image? click here to refresh.
    *required field

Your bulk quote request has been submitted successfully!

Please contact us if you have any questions.