• Tel: 858.663.9055
  • SeparatorEmail: info@nsjbio.com
  • Tel: 858.663.9055
  • Email: info@nsjbio.com
Home >> Antibodies >> STOML2 Antibody / Stomatin like 2 / SLP-2

STOML2 Antibody / Stomatin like 2 / SLP-2 [clone 28S56] (RQ8418)

  Catalog No Formulation Size Price (USD)  
Image RQ8418 Antibody in PBS with 0.02% sodium azide, 50% glycerol and 0.4-0.5mg/ml BSA 100 ul 449
Microvalidated Recrabbitmono
Bulk quote request
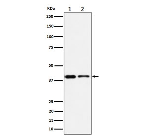
Western blot testing of 1) human Jurkat and 2) mouse RAW264.7 cell lysate with STOML2 antibody. Predicted molecular weight ~38 kDa.
Availability 1-3 business days
Species Reactivity Human, Mouse
Format Purified
Host Rabbit
Clonality Recombinant Rabbit Monoclonal
Isotype Rabbit IgG
Clone Name 28S56
Purity Affinity chromatography
UniProt Q9UJZ1
Applications Western Blot : 1:500-1:2000
Limitations This STOML2 antibody is available for research use only.
Review this product on BioCompare and get a $20 Amazon gift card

Related Products

Description

Mitochondrial protein that probably regulates the biogenesis and the activity of mitochondria. [UniProt]

Application Notes

Optimal dilution of the STOML2 antibody should be determined by the researcher.

Immunogen

A synthetic peptide derived from human Stomatin like 2 was used as the immunogen for the STOML2 antibody.

Storage

Store the STOML2 antibody at -20oC.

Cross
Bulk Quote Request Form
Name*:
Organization*:
Email*:
Phone Number*:
Catalog No.*:
Comments and Specifics(amount, formulation, etc.)*:
Validation code: Captchapackage Image


Can't read the image? click here to refresh.
    *required field

Your bulk quote request has been submitted successfully!

Please contact us if you have any questions.