• Tel: 858.663.9055
  • SeparatorEmail: info@nsjbio.com
  • Tel: 858.663.9055
  • Email: info@nsjbio.com
Home >> Antibodies >> Stefin B Antibody

Stefin B Antibody (R31218)

  Catalog No Formulation Size Price (USD)  
Image R31218 0.5mg/ml if reconstituted with 0.2ml sterile DI water 100 ug 449
Bulk quote request
Western blot testing of Stefin B antibody; Lane 1: A549; 2: A431; 3: COLO320; 4: HeLa cell lysate. Predicted/observed molecular weight: ~11kDa.
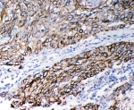
IHC-P: Stefin B antibody testing of human lung cancer tissue
Availability 1-3 business days
Species Reactivity Human
Format Antigen affinity purified
Host Rabbit
Clonality Polyclonal (rabbit origin)
Isotype Rabbit IgG
Purity Antigen affinity
Buffer Lyophilized from 1X PBS with 2.5% BSA and 0.025% sodium azide/thimerosal
UniProt P04080
Applications Western Blot : 0.5-1ug/ml
IHC (FFPE) : 0.5-1ug/ml
Limitations This Stefin B antibody is available for research use only.
Review this product on BioCompare and get a $20 Amazon gift card

Related Products

Description

Cystatin B (CSTB), also called Stefin B (STFB), is a small protein that is a member of the superfamily of cysteine protease inhibitors. It has been isolated from human spleen and liver and its amino acid sequence has been fully determined. The gene is located on 21q22.3. The protein is widely distributed and is localized mostly intracellularly, but has been found extracellularly. It is able to form a dimer stabilized by noncovalent forces, inhibiting papain and cathepsins l, h and b. Its role is though to be as a protector against the proteinases leaking from lysosomes. A STFB multiprotein complex might have a specific cerebellar function, and that the loss of this function might contribute to the etiopathogenesis of EPM1. Upon differentiation to myotubes, STFB becomes excluded from the nucleus and lysosomes, suggesting that the subcellular distribution of the protein is dependent on the differentiation status of the cell.

Application Notes

The stated application concentrations are suggested starting amounts. Titration of the Stefin B antibody may be required due to differences in protocols and secondary/substrate sensitivity.

Immunogen

An amino acid sequence from the middle region of human Stefin B (QLEEKENKKFPVFKAVSFKS) was used as the immunogen for this Stefin B antibody.

Storage

After reconstitution, the Stefin B antibody can be stored for up to one month at 4oC. For long-term, aliquot and store at -20oC. Avoid repeated freezing and thawing.

Cross
Bulk Quote Request Form
Name*:
Organization*:
Email*:
Phone Number*:
Catalog No.*:
Comments and Specifics(amount, formulation, etc.)*:
Validation code: Captchapackage Image


Can't read the image? click here to refresh.
    *required field

Your bulk quote request has been submitted successfully!

Please contact us if you have any questions.