• Tel: 858.663.9055
  • SeparatorEmail: info@nsjbio.com
  • Tel: 858.663.9055
  • Email: info@nsjbio.com
Home >> Antibodies >> Stathmin 1 Antibody / STMN1

Stathmin 1 Antibody / STMN1 [clone STMN1/8437] (V5505)

  Catalog No Formulation Size Price (USD)  
Image V5505-100UG 0.2 mg/ml in 1X PBS with 0.1 mg/ml BSA (US sourced), 0.05% sodium azide 100 ug 559
Image
V5505-20UG 0.2 mg/ml in 1X PBS with 0.1 mg/ml BSA (US sourced), 0.05% sodium azide 20 ug 259
Image
V5505SAF-100UG 1 mg/ml in 1X PBS; BSA free, sodium azide free 100 ug 559
Bulk quote request
Western blot testing of human spleen tissue with Stathmin 1 antibody (clone STMN1/8437). Predicted molecular weight ~17 kDa.
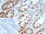
IHC staining of FFPE human colon carcinoma tissue with Stathmin 1 antibody (clone STMN1/8437). Inset: PBS used in place of primary Ab (secondary Ab negative control). HIER: boil tissue sections in pH 9 10mM Tris with 1mM EDTA for 20 min and allow to cool before testing.
SDS-PAGE analysis of purified, BSA-free Stathmin 1 antibody (clone STMN1/8437) as confirmation of integrity and purity.
Availability 1-3 business days
Species Reactivity Human
Format Purified
Host Mouse
Clonality Monoclonal (mouse origin)
Isotype Mouse IgG1, kappa
Clone Name STMN1/8437
Purity Protein A/G affinity
UniProt P16949
Localization Cytoplasm, Cytoskeleton
Applications Immunohistochemistry (FFPE) : 1-2ug/ml
Western Blot : 2-4ug/ml
Limitations This Stathmin 1 antibody is available for research use only.
Review this product on BioCompare and get a $20 Amazon gift card

Related Products

Description

Stathmin 1 (Oncoprotein 18, STM1, prosolin or metablastin) is a conserved, Tubulin-associated, intracellular phosphoprotein. Many different phosphorylated forms of the protein are observed, and it is expressed as two different isoforms. Stathmin 1 is considered a critical regulator of microtubulin dynamics and is downregulated by p53. It serves as a transducing protein, via phophorylation, for a variety of cell signaling pathways and is involved in both mitosis and differentiation. It is present in many cancers, including breast carcinomas, and is highly expressed in acute leukemias of different subtypes.

Application Notes

Optimal dilution of the Stathmin 1 antibody should be determined by the researcher.

Immunogen

A recombinant fragment of human STMN1 protein was used as the immunogen for the Stathmin 1 antibody.

Storage

Aliquot the Stathmin 1 antibody and store frozen at -20oC or colder. Avoid repeated freeze-thaw cycles.

Cross
Bulk Quote Request Form
Name*:
Organization*:
Email*:
Phone Number*:
Catalog No.*:
Comments and Specifics(amount, formulation, etc.)*:
Validation code: Captchapackage Image


Can't read the image? click here to refresh.
    *required field

Your bulk quote request has been submitted successfully!

Please contact us if you have any questions.