• Tel: 858.663.9055
  • SeparatorEmail: info@nsjbio.com
  • Tel: 858.663.9055
  • Email: info@nsjbio.com
Home >> Antibodies >> Stathmin 1 Antibody / Op18 / STMN1

Stathmin 1 Antibody / Op18 / STMN1 [clone STMN1/8012] (V4689)

  Catalog No Formulation Size Price (USD)  
Image V4689-100UG 0.2 mg/ml in 1X PBS with 0.1 mg/ml BSA (US sourced), 0.05% sodium azide 100 ug 559
Image
V4689-20UG 0.2 mg/ml in 1X PBS with 0.1 mg/ml BSA (US sourced), 0.05% sodium azide 20 ug 259
Image
V4689SAF-100UG 1 mg/ml in 1X PBS; BSA free, sodium azide free 100 ug 559
Bulk quote request
Western blot testing of human spleen tissue lysate with Stathmin 1 antibody. Expected molecular weight ~17 kDa.
SDS-PAGE analysis of purified, BSA-free Stathmin 1 antibody (clone STMN1/8012) as confirmation of integrity and purity.
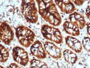
IHC staining of FFPE human colon tissue with Stathmin 1 antibody (clone STMN1/8012). HIER: boil tissue sections in pH 9 10mM Tris with 1mM EDTA for 20 min and allow to cool before testing.
Availability 1-3 business days
Species Reactivity Human
Format Purified
Host Mouse
Clonality Monoclonal (mouse origin)
Isotype Mouse IgG1, kappa
Clone Name STMN1/8012
Purity Protein A/G affinity
UniProt P16949
Localization Cytoplasm
Applications Immunohistochemistry (FFPE) : 1-2ug/ml for 30 min at RT
Western Blot : 2-4ug/ml
Limitations This Stathmin 1 antibody is available for research use only.
Review this product on BioCompare and get a $20 Amazon gift card

Related Products

Description

Stathmin (Op18, oncoprotein 18, prosolin or metablastin) is a conserved, Tubulin-associated, intracellular phosphoprotein.

Application Notes

Optimal dilution of the Stathmin 1 antibody should be determined by the researcher.

Immunogen

A recombinant fragment of human STMN1 protein was used as the immunogen for the Stathmin 1 antibody.

Storage

Aliquot the Stathmin 1 antibody and store frozen at -20oC or colder. Avoid repeated freeze-thaw cycles.

Cross
Bulk Quote Request Form
Name*:
Organization*:
Email*:
Phone Number*:
Catalog No.*:
Comments and Specifics(amount, formulation, etc.)*:
Validation code: Captchapackage Image


Can't read the image? click here to refresh.
    *required field

Your bulk quote request has been submitted successfully!

Please contact us if you have any questions.