• Tel: 858.663.9055
  • SeparatorEmail: info@nsjbio.com
  • Tel: 858.663.9055
  • Email: info@nsjbio.com
Home >> Antibodies >> StAR Antibody Microarray Specificity Validated Clone STAR/2154 / Steroidogenic acute regulatory protein

StAR Antibody Microarray Specificity Validated Clone STAR/2154 / Steroidogenic acute regulatory protein [clone STAR/2154] (V3897)

  Catalog No Formulation Size Price (USD)  
Image V3897-100UG 0.2 mg/ml in 1X PBS with 0.1 mg/ml BSA (US sourced) and 0.05% sodium azide 100 ug 559
Image
V3897-20UG 0.2 mg/ml in 1X PBS with 0.1 mg/ml BSA (US sourced) and 0.05% sodium azide 20 ug 259
Image
V3897SAF-100UG 1 mg/ml in 1X PBS; BSA free, sodium azide free 100 ug 559
Microvalidated
Bulk quote request
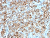
StAR Antibody Microarray Specificity Validated Clone STAR/2154. Immunohistochemistry analysis of Steroidogenic Acute Regulatory Protein (StAR / STARD1) in FFPE human adrenal gland tissue using a mouse monoclonal antibody validated by large-scale protein microarray specificity screening. HRP-DAB brown cytoplasmic staining highlights steroidogenic cells of the adrenal cortex, consistent with the mitochondrial localization of StAR in steroid hormone-producing endocrine cells, while surrounding non-steroidogenic tissues show minimal staining. Heat-induced epitope retrieval was performed by boiling tissue sections in pH 9 Tris-EDTA buffer (10 mM Tris with 1 mM EDTA) for 10-20 minutes followed by cooling at room temperature for 20 minutes prior to antibody staining.
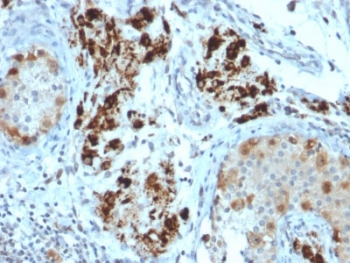
StAR Antibody Microarray Specificity Validated Clone STAR/2154. Immunohistochemistry analysis of Steroidogenic Acute Regulatory Protein (StAR / STARD1) in FFPE human testicular carcinoma tissue using a mouse monoclonal antibody validated by large-scale protein microarray specificity screening. HRP-DAB brown cytoplasmic staining highlights tumor cells with steroidogenic differentiation, consistent with the mitochondrial localization of StAR in steroid hormone-producing cells, while surrounding stromal and non-steroidogenic tissues show minimal staining. Heat-induced epitope retrieval was performed by boiling tissue sections in pH 9 Tris-EDTA buffer (10 mM Tris with 1 mM EDTA) for 10-20 minutes followed by cooling at room temperature for 20 minutes prior to staining.
IHC staining of FFPE human testicular carcinoma with StAR antibody (clone STAR/2154). Required HIER: boil tissue sections in pH 9 10mM Tris with 1mM EDTA for 10-20 min followed by cooling at RT for 20 min.
StAR Antibody Microarray Specificity Validated Clone STAR/2154. Protein microarray specificity validation using a HuProt(TM) array containing more than 19,000 full-length human proteins demonstrates highly selective recognition of Steroidogenic Acute Regulatory Protein (StAR / STARD1) by the STAR/2154 mouse monoclonal antibody. Signal ranking analysis shows STARD1 as the top target with a Z-score of 134.64 and S-score of 127.37, while all other proteins display substantially lower binding signals, supporting strong antibody specificity and minimal cross-reactivity. Z-scores represent the strength of antibody binding signals measured in standard deviations above the mean signal across the array, while S-scores represent the difference between ranked Z-scores and therefore reflect the relative target specificity of an antibody for its intended antigen.
SDS-PAGE analysis of purified, BSA-free StAR antibody (clone STAR/2154) as confirmation of integrity and purity.
Species Reactivity Human
Format Purified
Host Mouse
Clonality Monoclonal (mouse origin)
Isotype Mouse IgG1, kappa
Clone Name STAR/2154
Purity Protein G affinity chromatography
UniProt P49675
Localization Cytoplasmic (mitochondrial)
Applications Immunohistochemistry (FFPE) : 1-2ug/ml for 30 min at RT
Limitations This StAR antibody is available for research use only.
Review this product on BioCompare and get a $20 Amazon gift card

Related Products

Description

Steroidogenic Acute Regulatory Protein (StAR), encoded by the STARD1 gene, is a mitochondrial cholesterol transport protein that performs the rate-limiting step in steroid hormone biosynthesis. StAR Antibody Microarray Specificity Validated Clone STAR/2154 is a mouse monoclonal antibody developed for highly selective detection of Steroidogenic Acute Regulatory Protein with specificity confirmed through large-scale protein microarray screening. In this validation strategy, antibody binding is evaluated against proteome-scale arrays containing thousands of full-length human proteins, enabling systematic assessment of potential cross-reactivity. Such microarray-based screening provides strong evidence that the antibody preferentially recognizes the intended StAR target while minimizing binding to unrelated proteins.

A defining feature of StAR Antibody Microarray Specificity Validated Clone STAR/2154 is its validation using large-scale protein microarray specificity analysis. Protein microarrays allow antibodies to be tested against thousands of recombinant proteins simultaneously, providing a comprehensive method to evaluate binding selectivity across the human proteome. This microarray-validated antibody screening approach represents a highly effective strategy for confirming antibody specificity because it enables direct identification of potential off-target interactions and verifies selective recognition of the intended antigen. Antibodies validated through this proteome-scale screening method therefore provide increased confidence in experimental results by demonstrating minimal cross-reactivity with other proteins present in complex biological samples.

StAR plays a central role in steroid hormone production by mediating the transfer of cholesterol from the outer mitochondrial membrane to the inner mitochondrial membrane where steroidogenesis begins. Because this cholesterol transport step represents the rate-limiting stage of steroid hormone synthesis, StAR is widely studied in endocrine physiology and steroidogenic signaling pathways. Detection of Steroidogenic Acute Regulatory Protein therefore provides insight into mitochondrial cholesterol transport, regulation of steroid hormone biosynthesis, and the functional activity of steroidogenic endocrine cells.

Expression of Steroidogenic Acute Regulatory Protein is strongly enriched in steroid-producing tissues including the adrenal cortex, testicular Leydig cells, and ovarian theca and luteal cells. These specialized endocrine cells require efficient mitochondrial cholesterol transport to sustain synthesis of glucocorticoids, mineralocorticoids, and sex steroids. As a result, StAR protein levels closely reflect the steroidogenic capacity of these endocrine tissues and are frequently examined in studies investigating endocrine physiology, steroidogenic cell differentiation, and hormone biosynthesis pathways.

Through proteome-scale protein microarray validation, StAR Antibody Microarray Specificity Validated Clone STAR/2154 is designed to provide selective recognition of Steroidogenic Acute Regulatory Protein while minimizing potential cross-reactivity with structurally related proteins. This microarray specificity validation strategy supports research applications examining mitochondrial cholesterol transport, regulation of steroidogenesis, and endocrine tissue biology in studies of adrenal and gonadal steroid hormone production.

Application Notes

The concentration stated for each application is a general starting point. Variations in protocols, secondaries and substrates may require the StAR Antibody Microarray Specificity Validated Clone STAR/2154 to be titered up or down for optimal performance.

Immunogen

A portion of amino acids 39-108 from the human protein was used as the immunogen for this StAR antibody.

Storage

Store the StAR antibody at 2-8oC (with azide) or aliquot and store at -20oC or colder (without azide).

Alternate Names

StAR antibody, Steroidogenic acute regulatory protein antibody, STARD1 antibody, STAR protein antibody, Cholesterol transport protein StAR antibody

Cross
Bulk Quote Request Form
Name*:
Organization*:
Email*:
Phone Number*:
Catalog No.*:
Comments and Specifics(amount, formulation, etc.)*:
Validation code: Captchapackage Image


Can't read the image? click here to refresh.
    *required field

Your bulk quote request has been submitted successfully!

Please contact us if you have any questions.